首页
Portal
订阅
产品资料
医疗器械
外科训练
医学论坛
BBS
关于我们
联系我们
登录
立即登录
立即注册
其他登录
QQ
微信
搜索
搜索
本版
文章
帖子
用户
本版
文章
帖子
用户
首页
Portal
订阅
产品资料
医疗器械
外科训练
医学论坛
BBS
关于我们
联系我们
账号
自动登录
找回密码
密码
登录
注册
外科
内科
第三
第四
中医
辅助
执业
教育
专区
好友
帖子
收藏
淘帖
分享
记录
留言板
门户
导读
排行榜
设置
我的收藏
退出
珍屯医学
»
医学论坛
›
外科
›
骨科四肢脊柱手外
›
小转子病理性骨折
返回列表
小转子病理性骨折
[复制链接]
作者:
大江
|
时间:
2025-11-18 16:00:01
|
阅读:109
|
显示全部楼层
病例介绍
患者既往有肾细胞癌病史,六个月前接受了肾切除术。现因左大腿
疼痛
及行走跛行就诊。
患者资料
年龄:50岁
性别:男
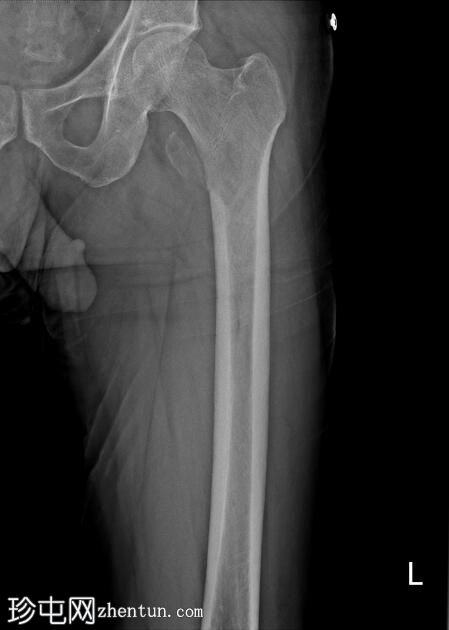
X线片
左侧股骨近端骨干可见溶骨
性病
变,延伸至股骨粗隆间区并累及小转子。
左侧小转子可见移位性
病理
性骨折。
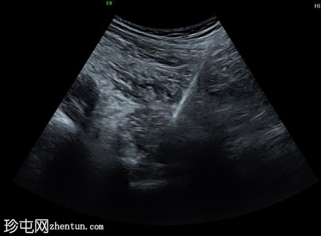
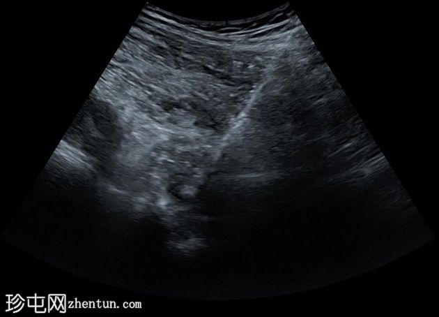
超声
检查
矢状位
在超声引导下,对位于左侧大腿内侧上部的膨胀性溶骨性破坏性肿块进行了穿刺活检。
病例讨论
显微镜及
免疫
组化染色描述:
骨组织被
肿瘤
浸润,肿瘤细胞由胞质丰富透明的大细胞组成,细胞核轻度多形性,形成巢状结构。
肿瘤细胞CK7、AE1/AE3、CD10和PAX8呈阳性。
综合诊断为转移性透明细胞肾细胞癌。
回复
举报
返回列表
发表新帖
高级模式
B
Color
Image
Link
Quote
Code
Smilies
您需要登录后才可以回帖
登录
|
注册
大江
关注Ta
主题 17556
帖子 16642
积分 42140
此人很懒,什么也没留下。
•
轻松订阅最新动态(简易法)
•
珍屯网“股份”积分策略
•
会员注册规则说明——试行
•
您看好“外资独资办医”吗?欢迎大家投票和讨论
•
为各位医友推荐些好书!可代购
•
无排卵
•
《简明体格检查图解》┊陈清兰,郑智远编著.PDF
•
全国实践技能考试准考证打印一览表
阅读作者更多精彩帖子
热门问答
更多>
0
新月形骨折伴骨盆LC II损伤
62人围观, 发布于2026-01-29
0
三角骨骨折
58人围观, 发布于2026-01-30
0
腰骶移行椎(Castellvi 2b 型)
64人围观, 发布于2026-01-31
0
Hill-Sachs 缺陷伴 Bankart 病变
56人围观, 发布于2026-02-01