找回密码
 注册

大B细胞淋巴瘤 - 胫骨

作者:大江 | 时间:2025-11-19 16:00:00 | 阅读:123| 显示全部楼层
临床表现

右膝及右小腿剧烈疼痛,行走困难。

患者资料

年龄:30岁

性别:男

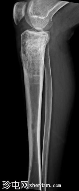
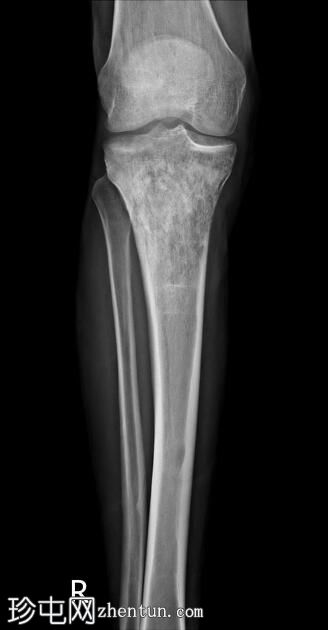
X线片
1.jpeg
正位片

2.jpeg
侧位片

右胫骨上三分之一骨骺及干骺端可见混合性溶骨-硬化性病变,部分区域呈浸润性改变,并可见较宽的过渡带。

未见皮质破坏或骨膜反应。

MRI
3.jpg
PD脂肪抑制序列

4.jpg
矢状位片

T1加权像

5.jpg
矢状位片

T2加权像

6.jpg
冠状位PD脂肪抑制序列

7.jpg
轴位片

T2加权像

股骨外侧髁前外侧面、胫骨近端及髌骨上极可见异常信号(T1加权像低信号,T2/PD脂肪抑制序列呈不均匀高信号)浸润性病变,伴有边界不清的过渡带。可见少量骨外成分。

病例讨论

左侧胫骨近端及浸润区域行CT引导下骨活检,组织学诊断符合大B细胞淋巴瘤。

显微镜下:骨组织可见坏死区域,以及由成片大细胞组成的细胞性淋巴瘤,细胞核呈囊泡状。

免疫组化染色显示肿瘤细胞CD20和MUM1阳性,CD3阴性。

Ki67指数超过90%。

最终诊断:右侧胫骨近端肿块针吸活检:

大B细胞淋巴瘤,CD20阳性,非生发中心细胞型。
您需要登录后才可以回帖 登录 | 注册
Copyright © 2011-2026 东莞市珍屯医疗科技有限公司Powered by zhentun.com
返回顶部