找回密码
 注册

钙沉积物迁移至肩峰下滑囊-三角肌下滑囊

作者:大江 | 时间:2025-11-21 16:00:01 | 阅读:111| 显示全部楼层
病例介绍

患者主诉左肩急性疼痛,无外伤史,并伴有功能障碍。

患者资料

年龄:50岁

性别:女

左肩

X线片
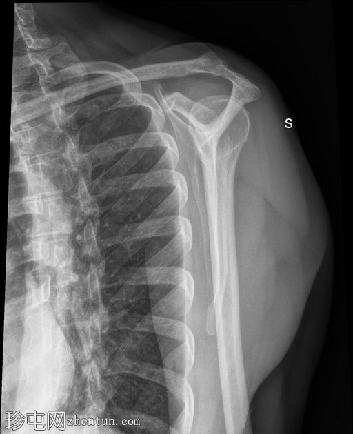
1.jpg
正位 -

内旋位

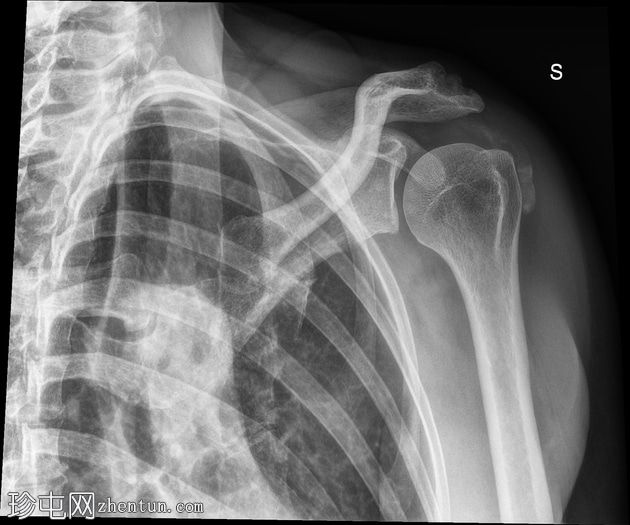
2.jpg
正位 -

外旋位

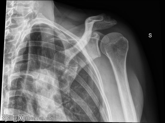
3.jpg
轴位

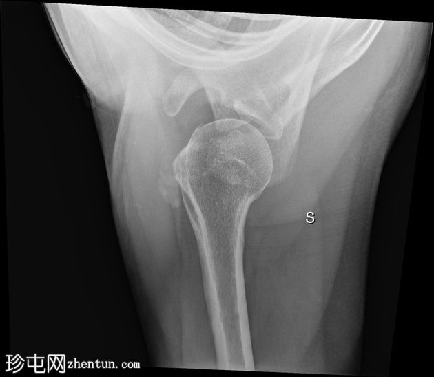
4.jpg
Neer

可见肱骨头周围、三角肌腱和冈上肌腱之间有钙化沉积物,呈致密均匀的阴影。

左肩
5.png
超声

6.png
轴位

7.png
轴位

8.png
轴位
矢状位

9.png
矢状位

肩峰下滑囊-三角肌下滑囊积液内可见轻度高回声、不均匀的钙化灶,无声影(“浆液状钙化”)。滑囊壁增厚,周围脂肪间隙水肿。

病例讨论

肩袖钙化性肌腱炎的特征是钙(羟基磷灰石晶体)沉积于肩袖内。

在吸收期,钙沉积物几乎呈液态,这种情况可能因钙沉积物从肌腱纤维(通常是冈上肌)迁移至肩峰下间隙、肩峰下滑囊或肱骨大结节而变得复杂,从而引起剧烈疼痛和活动范围受限。
您需要登录后才可以回帖 登录 | 注册
Copyright © 2011-2026 东莞市珍屯医疗科技有限公司Powered by zhentun.com
返回顶部