找回密码
 注册

肱骨近端骨折伴假性半脱位

作者:大江 | 时间:2025-11-23 16:00:02 | 阅读:134| 显示全部楼层
临床表现

跌倒时手掌撑地。

患者资料

年龄:35岁

性别:女

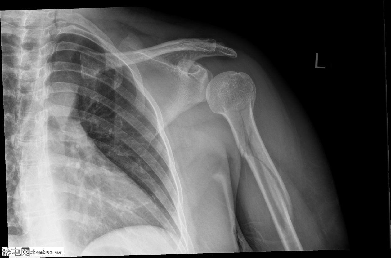
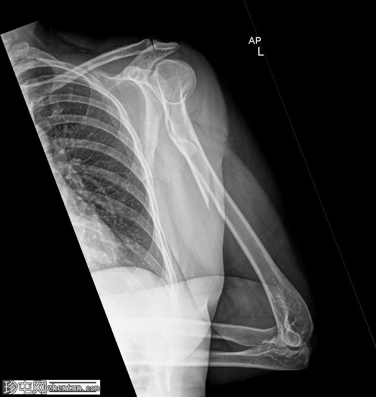
X线片
1.png
正位

2.png
斜位

3.png
正位

4.png
斜位

5.png
斜位

6.png
肱骨近端粉碎性移位骨折,累及骨干近端半部、外科颈,并延伸至大结节。

肱骨头在肩关节内向下半脱位,肩峰肱骨间距增大。

病例讨论

肱骨头向下移位(假性半脱位)是肱骨近端骨折常见的继发性表现。它提示关节积液、关节积血或暂时性关节囊松弛,而非肩关节真正的不稳。手臂负重和肌肉张力下降(尤其是三角肌和肩袖肌群)共同导致肱骨头相对于肩胛盂位置下移<sup>1-3</sup>。

这种表现不应与真正的肩关节脱位混淆,因为在Y形位或轴位影像上,肱骨头仍与肩胛盂保持正确的对位。随着关节液的吸收和肌肉张力的恢复,这种情况通常会自行缓解。识别这种暂时性的良性表现对于避免不必要的复位手术至关重要。

在本病例中,肱骨头位置下移反映了由急性近端肱骨骨折引起的关节积液所致的假性半脱位,而没有真正的脱位证据。
您需要登录后才可以回帖 登录 | 注册
Copyright © 2011-2026 东莞市珍屯医疗科技有限公司Powered by zhentun.com
返回顶部