找回密码
 注册

髋关节假体脱位

作者:大江 | 时间:2025-11-25 16:00:00 | 阅读:102| 显示全部楼层
临床表现

右髋关节周围剧烈疼痛。髋关节呈内旋、内收和屈曲位。一个月前接受了全髋关节置换术。

患者资料

年龄:75岁

性别:男

临床表现

X线片
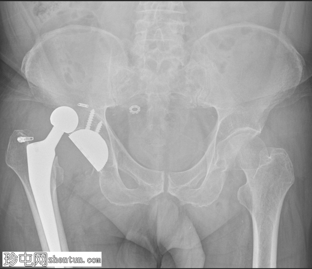
1.png
右髋关节非骨水泥全髋关节置换术后假体后脱位。

未见假体周围骨折或假体松动。

复位后

X线片
2.png
闭合复位后立即进行X线检查。

股骨假体已复位。股骨头和髋臼组件同心。

未见假体周围骨折或假体松动。

病例讨论

髋关节假体脱位是全髋关节置换术后较为常见的并发症,尤其是在术后前三个月内。

术后注意事项不依从是导致脱位的常见原因。在本病例中,患者经常屈髋超过推荐的90°限制。

初次脱位的首选治疗方法通常是手法复位,本例在镇静状态下采用艾利斯手法成功复位。
您需要登录后才可以回帖 登录 | 注册
Copyright © 2011-2026 东莞市珍屯医疗科技有限公司Powered by zhentun.com
返回顶部