找回密码
 注册

假体周围骨折 - 全髋关节置换术

作者:大江 | 时间:2025-11-28 17:00:00 | 阅读:107| 显示全部楼层
就诊情况

跌倒后左髋部疼痛

患者资料

年龄:55岁

性别:女

骨盆及左髋关节

X线片
1.png
正位片

2.png
侧位片

双侧全髋关节置换术假体完整,无松动迹象。

左侧股骨大转子下区外侧皮质中断,侧位片显示最佳,提示假体周围骨折。

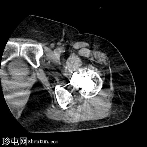
CT
3.jpg
轴位片

平扫
4.jpg
轴位骨窗
5.jpg
冠状位片
平扫
6.jpg
冠状位骨窗
7.jpg
矢状位片
平扫
8.jpg
矢状位骨窗

左侧全髋关节置换术。大转子基底部可见轻微移位的假体周围骨折。

大转子滑囊积液,可见脂肪-液体平面。

病例讨论

由于大多数关节置换患者为老年人,跌倒和骨质疏松的风险较高,因此假体周围骨折虽然相对少见,但仍是一种预期的并发症。

股骨大转子滑囊扩张并伴有脂肪-液体平面提示创伤性脂肪血肿。
您需要登录后才可以回帖 登录 | 注册
Copyright © 2011-2026 东莞市珍屯医疗科技有限公司Powered by zhentun.com
返回顶部