找回密码
 注册

睾丸混合性生殖细胞瘤

作者:大江 | 时间:2025-11-29 16:00:01 | 阅读:109| 显示全部楼层
病例介绍

右侧睾丸肿块,伴间歇性疼痛4个月。

患者资料

年龄:30岁

性别:男

超声检查
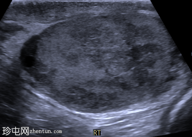
1.png
横切面
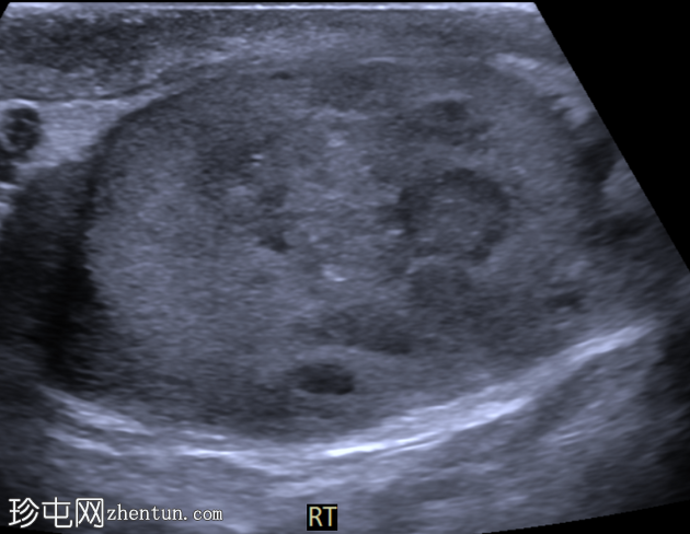
2.png
横切面
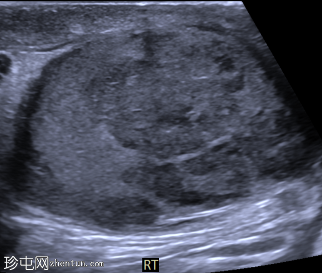
3.png
横切面
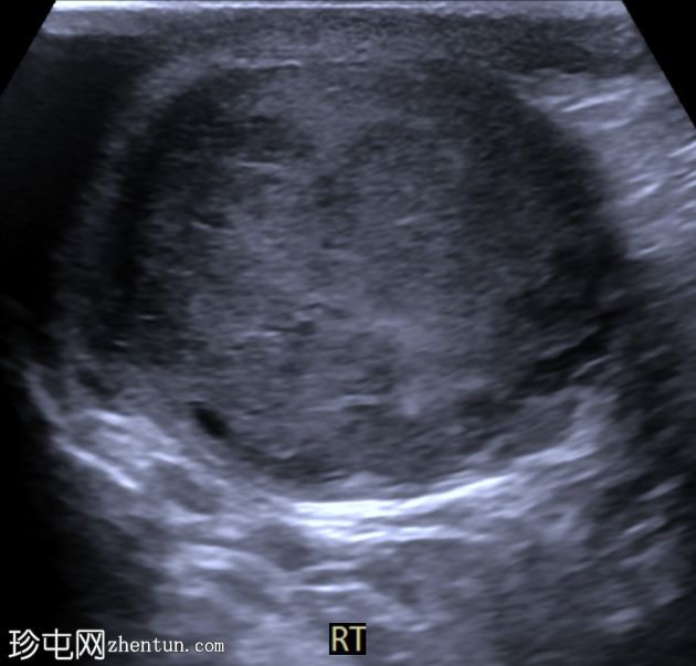
4.png
横切面
5.png
横切面
6.png
纵切面
7.png
纵切面
纵切面

右侧睾丸内可见一大小约3.0 x 5.0 cm的异质性分叶状低回声肿块。肿块内未见囊性区域或钙化。彩色多普勒超声检查显示肿块内血流丰富。左侧睾丸正常。

病例讨论

病史:右侧睾丸肿块。

手术:右侧睾丸根治性切除术。

大体标本:右侧睾丸根治性切除标本重56.5 g,大小为55 x 40 x 32 mm。精索大小为75 x 15 x 10 mm。单发灰褐色肿瘤,大小为48 mm,占据睾丸99%以上的体积。未见肉眼可见的鞘膜或精索侵犯。

显微镜下:肿瘤类型:混合性生殖细胞肿瘤。生殖细胞肿瘤:100%。肿瘤类型:胚胎性癌(超过75%)、精原细胞瘤(20%)、卵黄囊瘤(<5%)。非生殖细胞肿瘤:无。最大肿瘤直径:48 mm。淋巴血管侵犯:存在。睾丸门软组织侵犯(pT2):存在。显微镜下鞘膜侵犯:有。精索切端肿瘤:无。睾丸网间质侵犯:无。IGCNU检出:有。肿瘤分期:pT2
您需要登录后才可以回帖 登录 | 注册
Copyright © 2011-2026 东莞市珍屯医疗科技有限公司Powered by zhentun.com
返回顶部