找回密码
 注册

嗜铬细胞肾细胞癌

作者:大江 | 时间:2025-12-3 21:00:06 | 阅读:111| 显示全部楼层
临床表现

腹痛和恶心。无其他症状。

患者资料

年龄:60岁

性别:女

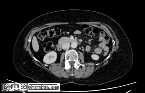
CT
1.png
轴位增强扫描

动脉期
2.png
轴位增强扫描

门静脉期
3.png
冠状位增强扫描

门静脉期
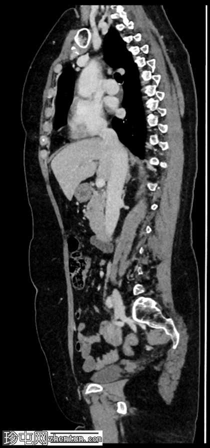
4.png
矢状位增强扫描

门静脉期
5.png
轴位
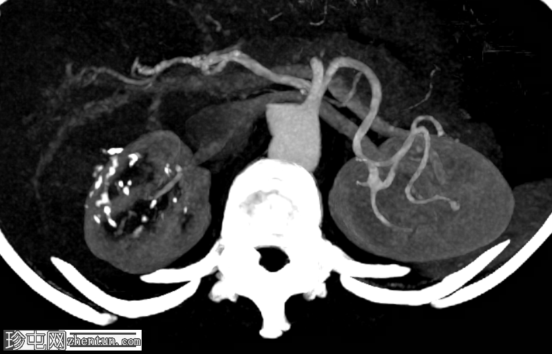
6.png
轴位
最大强度投影(MIP)
7.png
冠状位
最大强度投影(MIP)
8.png
重建图像

VR三维图像

右肾上极前外侧可见一边界清晰、分叶状、部分外生性病变,大小约4.0 x 6.8 cm(轴位)。病变内侧为无强化囊性成分,直径2.3 cm(动脉期和门静脉期平均密度均为13 HU);外侧为强化实性成分,直径4.5 cm(动脉期和门静脉期平均密度分别为68 HU和78 HU)。病灶内可见多处小钙化灶。病灶毗邻肝右叶,但未见侵犯肝实质的证据。肾静脉和下腔静脉通畅。肾门水平可见数个小的主动脉腔静脉淋巴结和腔静脉后淋巴结,其中最大的腔静脉后淋巴结短轴直径为7毫米。

右肾中极前缘可见10毫米Bosniak II型囊肿,双侧肾盂旁可见囊肿。右肾下极可见两处肾皮质缺损。肝脏第8段可见5毫米囊肿。未见远处转移。L2椎体可见血管瘤。

照片
9.png
右肾部分切除标本的组织病理学检查显示为嫌色细胞肾细胞癌(ChRCC)。

病例讨论

在CT扫描中,嗜铬细胞肾细胞癌(chRCC)通常表现为边界清晰的异质性肿块,轮廓光滑或呈分叶状。大多数chRCC在CT扫描中呈实性或以实性为主,囊性成分、出血或脂肪成分较为少见。钙化发生率在14%~34%之间。chRCC在肾实质期主要表现为中度强化;然而,在所有期相中,其强化程度均低于肾皮质。与其他肾细胞癌(RCC)类型相比,chRCC的强化程度低于透明细胞肾细胞癌(ccRCC),但高于乳头状肾细胞癌(pRCC)。
您需要登录后才可以回帖 登录 | 注册
Copyright © 2011-2026 东莞市珍屯医疗科技有限公司Powered by zhentun.com
返回顶部