找回密码
 注册

移植肾周脂肪粘液样假瘤

作者:大江 | 时间:2025-12-4 21:00:00 | 阅读:115| 显示全部楼层
就诊情况

腹部肿块评估

患者资料

年龄:70岁

性别:男

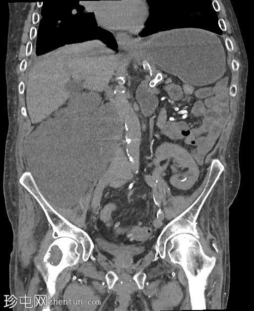
CT
轴位
1.jpeg
平扫

冠状位
2.jpeg
平扫

矢状位
3.jpeg
平扫

冠状动脉和主动脉瓣膜钙化明显。广泛的腹部动脉粥样硬化。胆结石。双肾萎缩。左髂窝移植肾形态大致正常。

右髂窝移植肾边界不清,呈低密度,周围环绕着一个大的分叶状复杂囊性肿块。

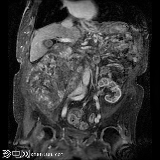
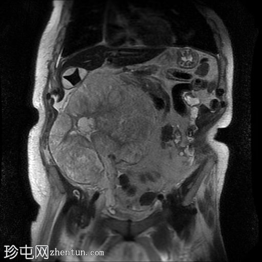
MRI
4.jpeg
冠状位

SSFSE
5.jpeg
轴位 T2
脂肪抑制
6.jpeg
冠状位 T1
C+脂肪抑制
7.jpg
轴位 T1
脂肪抑制
8.jpeg
轴位 T1
C+脂肪抑制
9.jpeg
轴位 T1
C+脂肪抑制

右髂窝移植肾不规则且受压,肾周可见巨大分叶状肿块,T2呈高信号,并进行性不均匀强化。这是黏液样变性的典型表现。

病例讨论

为确诊肾周脂肪黏液样假瘤,进行了活检。该假瘤是慢性肾脏炎症背景下的良性反应性病变,并非真正的肿瘤。最终行移植肾切除术,切除标本大小为26 x 18 x 12 cm,再次证实了诊断。

该过程反映了肾周脂肪组织的黏液样变性和纤维增生,本质上是指肾周脂肪中含有水肿的、富含黏蛋白的/黏液样结缔组织,具有典型的CT和MRI表现(T2高信号,轻度/中度强化)。鉴别诊断可能包括脂肪肉瘤以及与慢性炎症/黄色肉芽肿感染相关的并发症。
您需要登录后才可以回帖 登录 | 注册
Copyright © 2011-2026 东莞市珍屯医疗科技有限公司Powered by zhentun.com
返回顶部