找回密码
 注册

肾脏发育不全伴盲端输尿管异位插入

作者:大江 | 时间:2025-12-5 21:00:14 | 阅读:110| 显示全部楼层
临床表现

近5天出现血尿。

患者资料

年龄:75岁

性别:女

CT
扫描
1.jpg
轴位
平扫
2.png
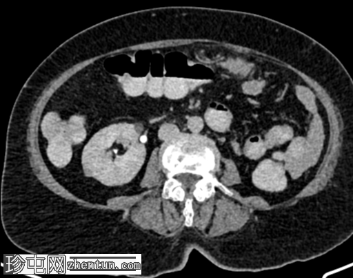
轴位增强扫描

动脉期
3.png
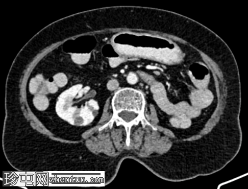
轴位增强扫描

门静脉期
4.png
轴位增强扫描

延迟期
5.png
冠状位增强扫描

动脉期
6.png
矢状位增强扫描

动脉期
7.png
左肾及左肾动脉缺如。

左侧肾上腺呈垂直方向。

左侧盆壁可见一管状扩张(直径16.5 mm)的充满液体的结构,该结构在S1椎体水平突然向上变窄,然后继续向上延伸,形成轻度强化的纤维条索状结构,直至L5椎体上终板水平。扩张管状结构的尾端逐渐变细,可能终止于阴道穹窿左侧角。在管状结构的尾端可见数个微小的高密度灶,可能为下垂性病灶(其中一个大小为 3.3 mm,315 HU)——可能为结石或钙化。未见其他左侧输尿管样结构。未见左侧膀胱输尿管连接处。

右肾可见多个低密度、无强化的单纯性皮质囊肿和数个高密度、无强化的囊肿——Bosniak II 级。

肝脏 VI 段包膜下可见一个低密度、低强化的单纯性囊肿(大小为 34.4 x 33.6 x 31.1 mm)。

左侧髂总静脉延续为左侧髂外静脉。左侧髂内静脉未汇入左侧髂总静脉,而是汇入右侧髂内静脉,并在 S1 椎体水平跨越中线。

病例讨论

左肾发育不全,左肾动脉缺如,左侧肾上腺呈平卧位征。

左侧输尿管远端三分之一处呈盲端扩张,异位开口,可能位于阴道穹窿。
您需要登录后才可以回帖 登录 | 注册
Copyright © 2011-2026 东莞市珍屯医疗科技有限公司Powered by zhentun.com
返回顶部