首页
Portal
订阅
产品资料
医疗器械
外科训练
医学论坛
BBS
关于我们
联系我们
登录
立即登录
立即注册
其他登录
QQ
微信
搜索
搜索
本版
文章
帖子
用户
本版
文章
帖子
用户
首页
Portal
订阅
产品资料
医疗器械
外科训练
医学论坛
BBS
关于我们
联系我们
账号
自动登录
找回密码
密码
登录
注册
外科
内科
第三
第四
中医
辅助
执业
教育
专区
好友
帖子
收藏
淘帖
分享
记录
留言板
门户
导读
排行榜
设置
我的收藏
退出
珍屯医学
»
医学论坛
›
外科
›
骨科四肢脊柱手外
›
第五指近节指骨骨折伴第一腕掌关节脱位 ...
返回列表
第五指近节指骨骨折伴第一腕掌关节脱位
[复制链接]
作者:
大江
|
时间:
2025-12-4 15:00:02
|
阅读:82
|
显示全部楼层
病例介绍
跌倒后右手小指
疼痛
肿胀,手掌伸展着地。
患者资料
年龄:80岁
性别:女
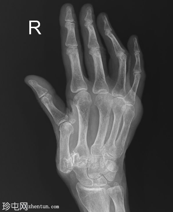
右手X线片
X线片
正位
斜位
斜位
小指近节指骨干轻微移位螺旋形骨折,周围软组织肿胀。怀疑拇指掌骨基底部和大多角骨骨折。
第一腕掌关节脱位,周围软组织肿胀。
第二至第五腕掌关节正常。桡腕关节、掌指关节和指间关节正常。尺骨茎突正常。
骨密度降低。
病例讨论
建议行CT检查以排除拇指掌骨基底部和大多角骨骨折。
这是一个罕见的病例,患者跌倒后右手不同部位出现骨折和脱位。
本案例强调了“搜索满意度”这句古老的格言,以及在查看X光片时拥有可重复且可靠的检查清单的重要性。
回复
举报
返回列表
发表新帖
高级模式
B
Color
Image
Link
Quote
Code
Smilies
您需要登录后才可以回帖
登录
|
注册
大江
关注Ta
主题 17556
帖子 16642
积分 42140
此人很懒,什么也没留下。
•
轻松订阅最新动态(简易法)
•
珍屯网“股份”积分策略
•
会员注册规则说明——试行
•
您看好“外资独资办医”吗?欢迎大家投票和讨论
•
为各位医友推荐些好书!可代购
•
无排卵
•
《简明体格检查图解》┊陈清兰,郑智远编著.PDF
•
全国实践技能考试准考证打印一览表
阅读作者更多精彩帖子
热门问答
更多>
0
新月形骨折伴骨盆LC II损伤
62人围观, 发布于2026-01-29
0
三角骨骨折
58人围观, 发布于2026-01-30
0
腰骶移行椎(Castellvi 2b 型)
64人围观, 发布于2026-01-31
0
Hill-Sachs 缺陷伴 Bankart 病变
56人围观, 发布于2026-02-01