找回密码
 注册

踝关节骨折 - Weber B

作者:大江 | 时间:2025-12-10 16:00:03 | 阅读:115| 显示全部楼层
病例介绍

运动时扭伤踝关节。

患者资料

年龄:20岁

性别:男

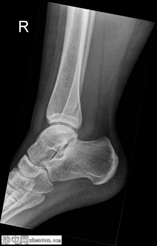
X线片
1.png
正位片
2.png
侧位片

腓骨远端在胫腓联合水平处发生螺旋形骨折,符合Weber B型骨折。远端骨折块轻度向外侧移位。距骨在踝关节内也出现向外侧移位。

内侧胫距关节间隙增宽,胫腓骨重叠减少,胫腓间隙增宽。这些发现提示胫腓联合韧带损伤,并提示踝关节不稳。可见轻度软组织肿胀。

病例讨论

这种损伤模式符合Weber B型骨折,是由旋后足受到外旋力所致。骨折发生在胫腓联合处,即连接胫骨和腓骨的韧带群。本例中,踝关节内侧以及胫腓骨之间的间隙增宽,提示这些稳定韧带已受力或撕裂。因此,距骨略微外移,表明踝关节不再处于正常对位,且不稳定。

当踝关节失去这种稳定的对位时,关节无法正常承受重量,若不及时治疗,可能导致疼痛、持续不稳定以及关节早期磨损。由于这种不稳定性,此类骨折通常采用手术固定治疗,以重新对位并固定踝穴,从而确保骨折愈合,并降低长期并发症的风险。

患者已用膝下硬石膏固定,并转诊至骨科团队进行切开复位内固定术。
您需要登录后才可以回帖 登录 | 注册
Copyright © 2011-2026 东莞市珍屯医疗科技有限公司Powered by zhentun.com
返回顶部