找回密码
 注册

急性痛风性关节炎

作者:大江 | 时间:2025-12-15 16:00:00 | 阅读:99| 显示全部楼层
主诉

大脚趾反复肿胀疼痛三年,最近一次发作于两周前。

患者资料

年龄:50岁

性别:男

第一和第二跖趾关节
1.png
超声检查

第一和第二跖趾关节滑膜弥漫性增厚,滑膜软组织增生呈高回声,血管增多,并伴有少量关节积液。增厚的滑膜上可见明亮的点状影,并可见关节内钙化。鉴于患者有痛风性关节炎病史,以上影像学表现符合急性炎症性关节炎。

5个月前

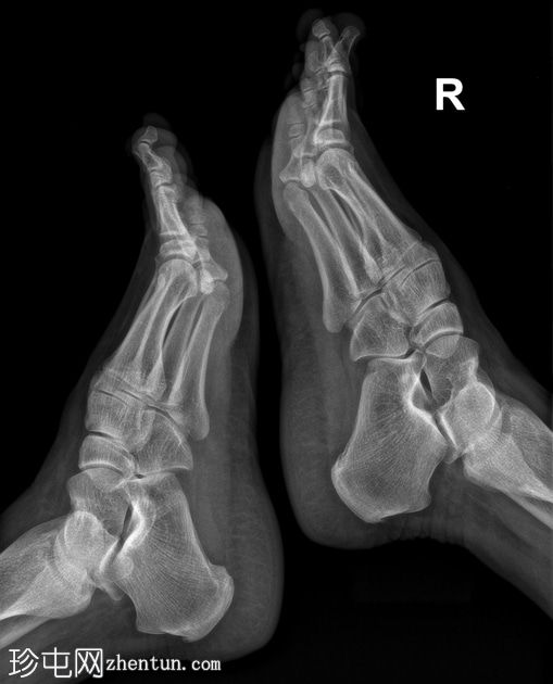
X线片
2.jpg
正位片
3.jpg
侧位片

双侧第一跖趾关节周围可见关节外穿凿样边缘性骨侵蚀。

病例讨论

超声检查结果符合急性痛风性关节炎发作。近几年血清尿酸水平大多在 400 至 460 µmol/L 左右。抗环瓜氨酸肽抗体 (抗 CCP) (<0.5 U/mL) 和类风湿因子 (<20 IU/mL) 均在正常范围内。

超声检查显示第一和第二跖趾关节有炎症性关节炎的征象,其余关节(第三至第五跖趾关节)正常。急性痛风性关节炎通常表现为单关节或少关节受累。痛风性关节炎的超声征象包括滑膜增厚伴高回声滑膜增生和点状钙化灶。双轮廓征也见于痛风,但本例中边界不清。血管增多符合急性炎症发作的特征,但并非关节炎类型的特异性表现。
您需要登录后才可以回帖 登录 | 注册
Copyright © 2011-2026 东莞市珍屯医疗科技有限公司Powered by zhentun.com
返回顶部