首页
Portal
订阅
产品资料
医疗器械
外科训练
医学论坛
BBS
关于我们
联系我们
登录
立即登录
立即注册
其他登录
QQ
微信
搜索
搜索
本版
文章
帖子
用户
本版
文章
帖子
用户
首页
Portal
订阅
产品资料
医疗器械
外科训练
医学论坛
BBS
关于我们
联系我们
账号
自动登录
找回密码
密码
登录
注册
外科
内科
第三
第四
中医
辅助
执业
教育
专区
好友
帖子
收藏
淘帖
分享
记录
留言板
门户
导读
排行榜
设置
我的收藏
退出
珍屯医学
»
医学论坛
›
外科
›
骨科四肢脊柱手外
›
Charcot足
返回列表
Charcot足
[复制链接]
作者:
大江
|
时间:
2025-12-17 16:00:01
|
阅读:59
|
显示全部楼层
病例介绍
一位糖尿病患者出现足部肿胀畸形、步态异常和周围
神经
病变。
患者资料
年龄:70岁
性别:女
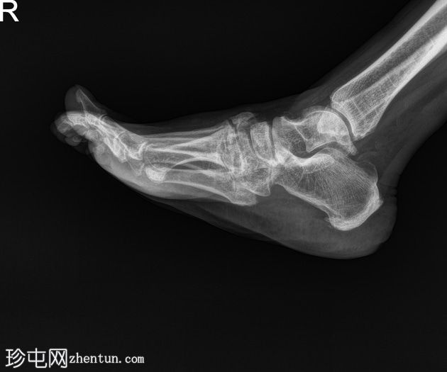
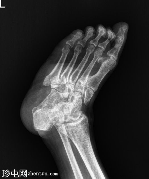
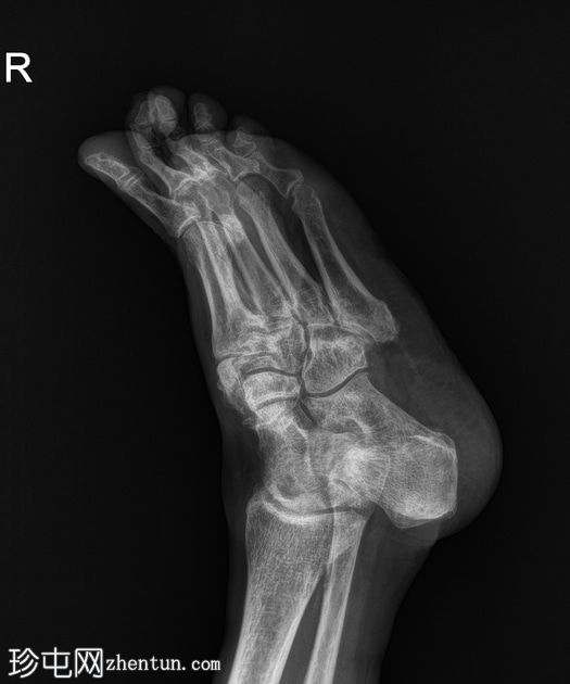
X线片
正位片
正位片
斜位片
斜位片
侧位片
侧位片
双足均符合典型的夏科氏关节病特征,该患者为已知糖尿病患者。
该病表现为骨质疏松、骨硬化(密度改变)、跗骨碎裂和破坏、关节内游离体(碎屑)、软组织肿胀和关节积液(扩张)、中足结构紊乱以及跗跖关节错位(脱位)。
X线平片未见气性坏疽或化脓性关节炎的证据。
右足足底跟骨可见退行性骨刺和附着点病变。
病例讨论
该糖尿病患者充分体现了“6D”原则,可确诊为神经性足或夏科氏足。
回复
举报
返回列表
发表新帖
高级模式
B
Color
Image
Link
Quote
Code
Smilies
您需要登录后才可以回帖
登录
|
注册
大江
关注Ta
主题 17556
帖子 16642
积分 42140
此人很懒,什么也没留下。
•
轻松订阅最新动态(简易法)
•
珍屯网“股份”积分策略
•
会员注册规则说明——试行
•
您看好“外资独资办医”吗?欢迎大家投票和讨论
•
为各位医友推荐些好书!可代购
•
无排卵
•
《简明体格检查图解》┊陈清兰,郑智远编著.PDF
•
全国实践技能考试准考证打印一览表
阅读作者更多精彩帖子
热门问答
更多>
0
三角骨骨折
58人围观, 发布于2026-01-30
0
腰骶移行椎(Castellvi 2b 型)
64人围观, 发布于2026-01-31
0
Hill-Sachs 缺陷伴 Bankart 病变
57人围观, 发布于2026-02-01
0
Lisfranc损伤
56人围观, 发布于2026-02-02