找回密码
 注册

骨纤维发育不良

作者:大江 | 时间:2025-12-20 16:00:00 | 阅读:82| 显示全部楼层
临床表现

右腿弓形畸形。

患者资料
年龄:1岁

性别:男

1岁

X线片
1.png
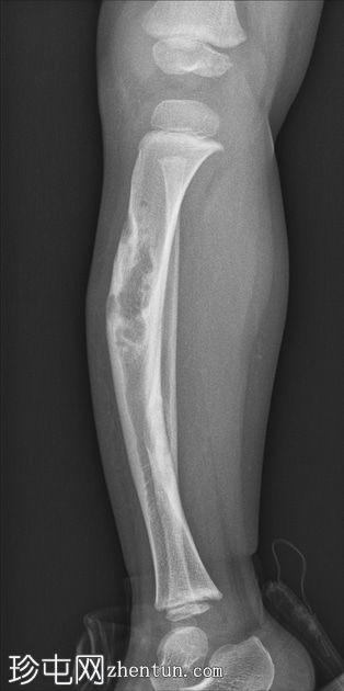
正位片
2.jpg
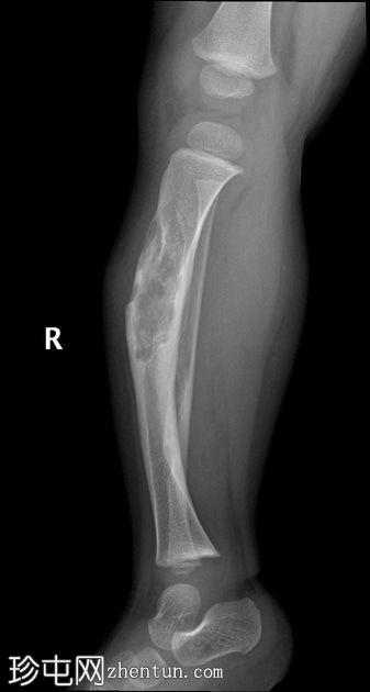
侧位片

右胫骨近端骨干皮质透亮膨胀性病变,边缘硬化较薄(过渡区狭窄),导致前弓形畸形。腓骨远端骨干可见类似病变。未见骨膜反应或病理性骨折。

3岁

X线片
3.jpg
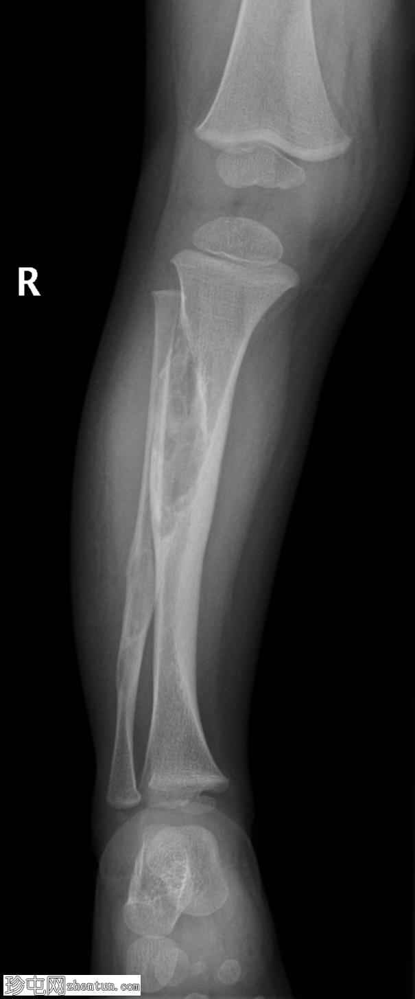
正位片
4.jpg
侧位片

再次显示胫骨前弓形畸形。

胫骨和腓骨骨干皮质病变部分硬化,体积缩小,提示病变有部分消退。

病例讨论

骨纤维性骨发育不良是儿童长骨弓形畸形的原因之一,因为它具有较高的畸形和骨折风险。初次扫描后进行了活检,确诊为骨纤维性骨发育不良。

虽然外观相似,但它与纤维性骨发育不良的区别在于,前者病变位于皮质,而纤维性骨发育不良是髓质病变。
您需要登录后才可以回帖 登录 | 注册
Copyright © 2011-2026 东莞市珍屯医疗科技有限公司Powered by zhentun.com
返回顶部