找回密码
 注册

混合性生殖细胞睾丸肿瘤

作者:大江 | 时间:2025-12-8 18:00:04 | 阅读:151| 显示全部楼层
主诉

左侧睾丸疼痛4周。

患者资料

年龄:40岁

性别:男

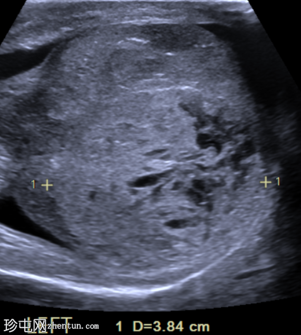
超声检查
1.png
横切面
2.png
横切面
3.png
横切面
4.png
横切面
纵切面

左侧睾丸可见边界不清的肿块,实质回声不均匀,并可见囊性区域。彩色多普勒超声显示血流信号增多。未见钙化。

右侧睾丸正常。

病例讨论

患者接受了左侧睾丸切除术。

实验室检查结果:

术前实验室检查结果如下:

甲胎蛋白(AFP)- 1171 kU/L,人绒毛膜促性腺激素(HCG)- 1858 IU/L,乳酸脱氢酶(LDH)- 868 IU/L。

睾丸切除术后,这些指标降至:

AFP - 460 kU/L,HCG - 55 IU/L,LDH - 328 IU/L

组织病理学结果:

肉眼观察结果:左侧睾丸重 80 克,大小为 65 x 60 x 45 毫米。肿瘤呈灰褐色,最大可评估直径为 61 毫米。未见鞘膜或精索受侵犯的肉眼证据。

显微镜检查结果:

肿瘤类型:精原细胞瘤 (40%)、胚胎性癌 (40%)、卵黄囊瘤 (15%)、畸胎瘤 (5%)。

对 CD117、OCT ¾、PLAP、CD30 和 Glypican 进行了免疫组化染色,结果证实了上述结果。精原细胞瘤成分显示淋巴血管侵犯。同时伴有睾丸网和睾丸门软组织的侵犯。精索和鞘膜未受累。

诊断:混合性生殖细胞肿瘤。pT2期。
您需要登录后才可以回帖 登录 | 注册
Copyright © 2011-2026 东莞市珍屯医疗科技有限公司Powered by zhentun.com
返回顶部