找回密码
 注册

Bochdalek 疝气伴胸内肾

作者:大江 | 时间:2025-12-8 18:00:04 | 阅读:110| 显示全部楼层
病例介绍

既往手术史包括左侧开胸膈修补术。

患者资料

年龄:20岁

性别:男

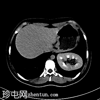
CT
轴位增强扫描
1.png
动脉期

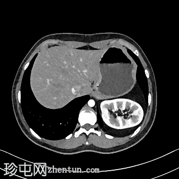
轴位增强扫描
2.png
门静脉期

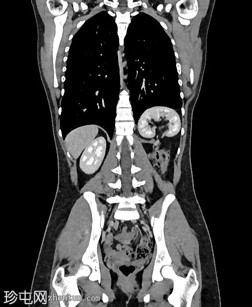
冠状位增强扫描
门静脉期
3.jpg
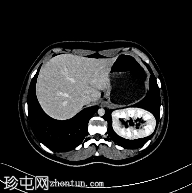
轴位增强扫描
4.png
延迟期

左侧Bochdalek疝,大小为8.7 x 7.5 cm,疝颈长3.2 cm。左肾位于胸腔内(Bochdalek疝伴胸内肾),无并发症。左肾旋转不良(过度旋转),肾门朝向后方,肾血管位于后方。肾血管起源正常。肾脏大小为8.6 x 5.8 x 6.1 cm,体积、实质和功能均正常。输尿管膀胱连接处位置正常。未见结石或肾积水。

右肾位置正常,大小正常(头尾径 9.5 cm),肾实质和功能均正常。未见结石或肾积水。

病例讨论

肾异位是一种肾脏畸形,肾脏位于其正常解剖位置之外。肾异位的发病率约为 1/900,无性别差异。

肾异位的一种变异类型是胸内肾。其根本原因是先天性膈疝(Bochdalek 疝)——一种膈肌缺损,使肾脏移位至胸腔。胸内肾常伴有左侧先天性膈疝,通常无症状,但有时也可能出现呼吸系统或胃肠道症状。大约 5% 的肾异位症为胸内肾,男性发病率较高,80-90% 发生在左侧。
您需要登录后才可以回帖 登录 | 注册
Copyright © 2011-2026 东莞市珍屯医疗科技有限公司Powered by zhentun.com
返回顶部