找回密码
 注册

膀胱动静脉畸形

作者:大江 | 时间:2025-12-10 19:00:02 | 阅读:95| 显示全部楼层
病例介绍

患者因尿流无力及疑似前列腺癌家族史而接受了前列腺多参数磁共振成像(MRI)检查。无其他症状。既往腹部及盆腔病史无特殊。

患者资料

年龄:75岁

性别:男

MRI
1.jpg
矢状位
T2加权像
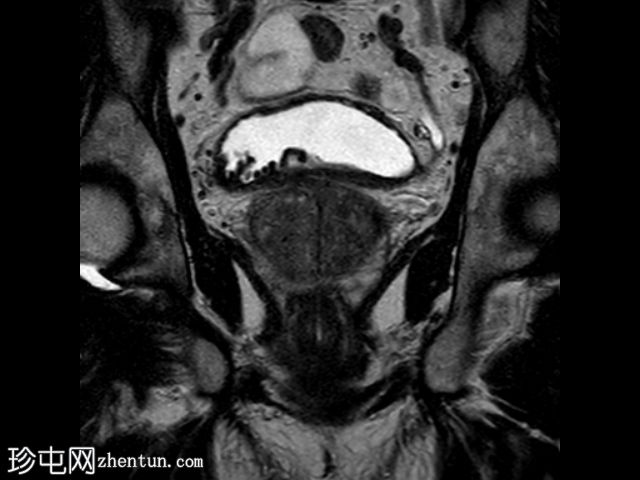
2.jpg
冠状位
T2加权像
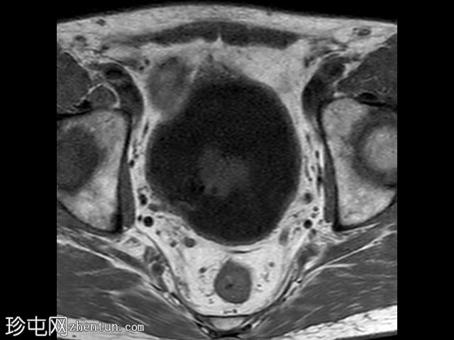
3.jpg
轴位
T2加权像
4.jpg
轴位
T1加权像
5.jpg
轴位T1加权像
增强脂肪抑制序列

本病例报告为良性前列腺增生(BPH),PI-RADS 2级。

在T1和T2加权像上,于膀胱底部及右下外侧面偶然发现一处呈蛇形缠绕状的低信号区。动态序列中可见快速对比增强,提示所有影像学表现均源于血管,信号缺失与动静脉畸形有关,该畸形至少由膀胱下动脉供血,并由同侧局部扩张的静脉回流。

病例讨论

这些影像学表现符合局限性动静脉畸形,这种情况极为罕见。通常情况下,该畸形伴有肉眼血尿,但本例患者未出现此症状。通常情况下,该畸形由髂内动脉的多条供血动脉供血,血管造影被认为是确诊的金标准。

关键学习要点

可伴有肉眼血尿

诊断极为罕见

血管造影被认为是确诊的金标准
您需要登录后才可以回帖 登录 | 注册
Copyright © 2011-2026 东莞市珍屯医疗科技有限公司Powered by zhentun.com
返回顶部