找回密码
 注册

出血性胆囊炎伴胆囊十二指肠瘘和胆囊动脉假性动脉瘤

作者:大江 | 时间:2025-12-9 16:00:00 | 阅读:126| 显示全部楼层
临床表现

患者主诉呕血和低血压。

患者资料

年龄:70岁

性别:女

CT
轴位
1.png
平扫

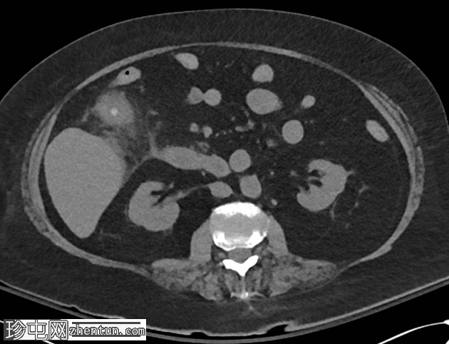
轴位增强扫描
2.png
动脉期

轴位增强扫描
3.png
门静脉期

多期CT扫描显示胆囊扩张,内含多发胆结石,胆囊壁增厚,胆囊周围脂肪组织炎症改变,提示急性胆囊炎。可见自发性高密度物质,与出血性内容物相符,符合出血性胆囊炎的影像学表现。

胆囊壁与十二指肠第二段相通,胆囊内可见气体,提示胆囊十二指肠瘘。

动脉期CT显示胆囊内侧缘有一结节状高密度病灶,平扫未见,静脉期CT显示该病灶,符合胆囊假性动脉瘤的影像学表现。

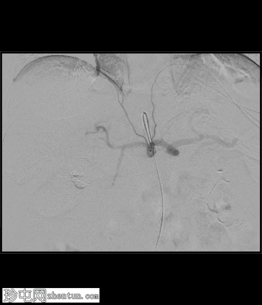
DSA
4.png
正面

腹腔干
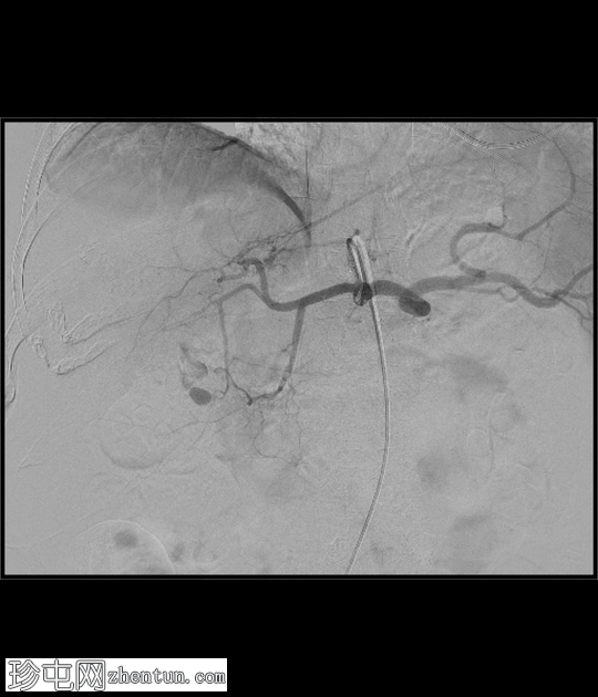
5.png
正面

腹腔干
血管造影证实存在胆囊动脉假性动脉瘤,并伴有活动性出血征象。

行胆囊动脉栓塞术,术后血管造影显示疗效满意。

病例讨论

CT影像学表现符合出血性胆囊炎合并胆囊十二指肠瘘,导致呕血。此外,还可见胆囊动脉假性动脉瘤,并伴有活动性出血征象。

行血管造影引导下栓塞术,患者病情迅速好转,消化道出血停止,临床状况改善。
您需要登录后才可以回帖 登录 | 注册
Copyright © 2011-2026 东莞市珍屯医疗科技有限公司Powered by zhentun.com
返回顶部