找回密码
 注册

阑尾炎

作者:大江 | 时间:2025-12-11 16:00:00 | 阅读:112| 显示全部楼层
临床表现

弥漫性腹痛,右下腹压痛

患者资料

年龄:65岁

性别:女

CT
1.png
轴位

平扫
2.png
冠状位最大强度投影(MIP)

平扫
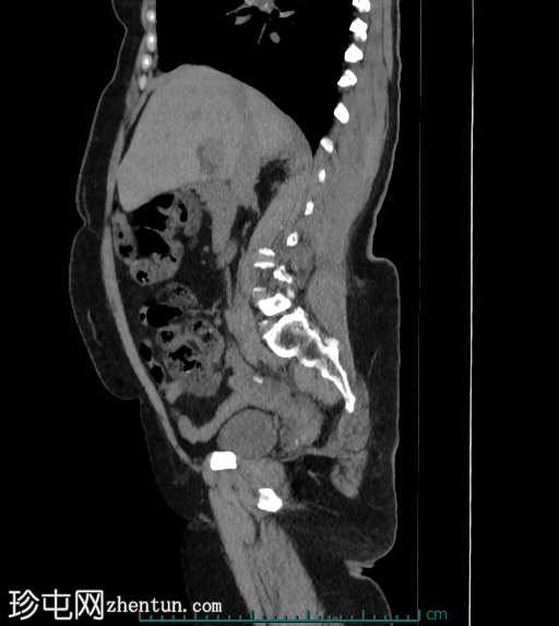
3.png
矢状位最大强度投影(MIP)

平扫

阑尾中段可见一放射性不透光阑尾粪石(冠状位和矢状位图像均可见),导致远端扩张。阑尾尖端直径达10 mm,呈充满液体的形态,周围可见脂肪条索,提示阑尾尖端炎。阑尾近端外观正常。

其他辅助发现包括:胆囊切除夹、亚厘米级肝血管平滑肌脂肪瘤、亚厘米级肝囊肿、左右肾结石。

病理
4.jpeg
病例讨论

阑尾尖端炎是指阑尾尖端的局限性炎症,与累及整个阑尾或始于阑尾根部的经典阑尾炎不同。临床表现相似,但可能更为隐匿,若未仔细检查整个阑尾,影像学检查可能漏诊。

CT 扫描显示近端阑尾正常,而远端扩张,并伴有阑尾周围脂肪条索影。阑尾尖端可能出现局灶性壁增厚、阑尾粪石阻塞、阑尾周围积液以及区域淋巴结肿大。或者,阑尾移行点可能出现管腔狭窄、管壁增厚。盲肠通常正常,近端阑尾也正常。
您需要登录后才可以回帖 登录 | 注册
Copyright © 2011-2026 东莞市珍屯医疗科技有限公司Powered by zhentun.com
返回顶部