找回密码
 注册

网膜垂体炎

作者:大江 | 时间:2025-12-13 17:00:01 | 阅读:69| 显示全部楼层
临床表现

右下腹疼痛

患者资料

年龄:55岁

性别:男

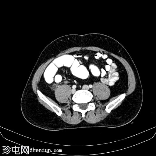
CT
轴位
平扫
1.jpg
轴位增强扫描
动脉期
2.jpg
轴位增强扫描
门静脉期
3.jpg
矢状位增强扫描
门静脉期
4.jpg
冠状位增强扫描
门静脉期
5.jpg
平扫CT显示,盲肠后外侧壁旁可见一边界清晰的卵圆形脂肪密度影,周围环绕一薄层高密度环(“高密度环”)。周围脂肪间隙轻度改变,无游离液体,邻近结肠壁未见增厚。动脉期,病灶仍为脂肪密度影,高密度环略有强化;未见动脉出血。

门静脉期,可见一持续存在的脂肪密度影,周围环绕高密度环;周围脂肪条索状改变,无脓肿形成,邻近结肠无憩室,盲肠壁正常。无阑尾炎,无淋巴结肿大,无游离气体或液体。

病例讨论

关键教学要点:

识别邻近结肠的高密度环状脂肪衰减病变

检查是否存在明显的结肠壁增厚、憩室或阑尾肿大

了解大网膜阑尾的解剖分布及其常见位置

认识到正确诊断可避免不必要的手术
您需要登录后才可以回帖 登录 | 注册
Copyright © 2011-2026 东莞市珍屯医疗科技有限公司Powered by zhentun.com
返回顶部