找回密码
 注册

脊柱手术后出现巨大的腹膜后淋巴囊肿

作者:大江 | 时间:2025-12-15 15:00:00 | 阅读:124| 显示全部楼层
病例介绍

患者因持续性腿痛和尿潴留行前路腰椎椎间融合术(ALIF)两周后,MRI显示膀胱充盈。引流管引流不畅,床旁超声显示膀胱仍充盈,并伴有持续性耻骨上疼痛。患者有造影剂过敏史。

患者资料

年龄:55岁

性别:女

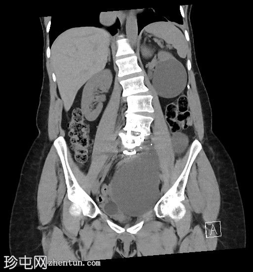
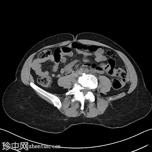
CT
1.jpg
轴位

平扫
2.jpg
冠状位

平扫
3.jpg
矢状位

平扫

左侧腹膜后可见一巨大囊性肿块,位于左侧腰大肌内侧,紧邻多个手术夹(ALIF手术所用),这些手术夹紧贴囊性肿块后壁。

膀胱已行引流管减压,并被囊性肿块向右侧推移。

子宫和左侧附件在囊性肿块前方保持正常的脂肪间隙,因此附件囊性病变的可能性较小。

左侧输尿管难以辨认,因为它位于囊性肿块下缘后方。

印象

左侧腹膜后巨大囊性病变,符合术后淋巴囊肿。鉴别诊断包括血清肿、尿瘤和脑脊液积聚,但脑脊液积聚的可能性较小。

病例讨论

患者转至另一家医院,行多期CT检查,证实肾脏未受累。CT引导下引流引流出大量液体,甘油三酯检测呈阳性,肌酐检测呈阴性,符合淋巴囊肿的诊断。
您需要登录后才可以回帖 登录 | 注册
Copyright © 2011-2026 东莞市珍屯医疗科技有限公司Powered by zhentun.com
返回顶部