找回密码
 注册

环状胰腺

作者:大江 | 时间:2025-12-25 15:00:08 | 阅读:97| 显示全部楼层
就诊原因

腹痛。偶然发现。

患者资料

年龄:40岁

性别:男

CT
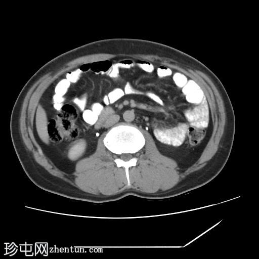
轴位增强扫描
1.jpg
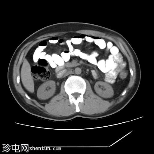
口服造影剂
2.jpg
轴位增强扫描(门静脉期)
3.jpg
轴位增强扫描(延迟期)
4.jpg
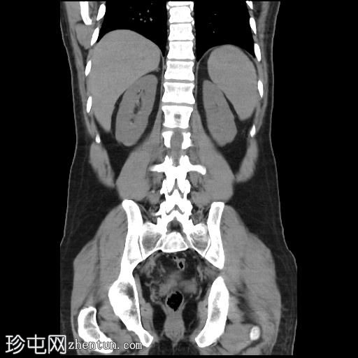
冠状位增强扫描(口服造影剂)
5.jpg
冠状位增强扫描(门静脉期)

CT扫描显示胰腺组织完全包绕十二指肠第二段。未发现胰周结节或肿块。

左肝III段可见一低密度囊肿,直径约15 mm。

此外,右肝VII段可见一低密度病灶,呈结节状强化,直径达12 mm,提示肝血管瘤。

左肝II段可见一强化病灶,提示快速充盈型血管瘤。

此外,肝实质内可见少量低密度病灶,但体积过小,无法准确定性。

病例讨论

环状胰腺是一种形态学异常,其特征是胰腺组织完全或部分环绕十二指肠第二段。这种情况可导致十二指肠梗阻,因此放射科医生识别此病至关重要,因为他们通常是第一个提出诊断的医生。
您需要登录后才可以回帖 登录 | 注册
Copyright © 2011-2026 东莞市珍屯医疗科技有限公司Powered by zhentun.com
返回顶部