找回密码
 注册

直肠黑色素瘤

作者:大江 | 时间:2025-12-27 15:00:05 | 阅读:77| 显示全部楼层
临床表现

排便习惯改变,偶有直肠出血。

患者资料

年龄:55岁

性别:男

MRI
1.jpeg
冠状位PD加权像
脂肪抑制像

2.jpeg
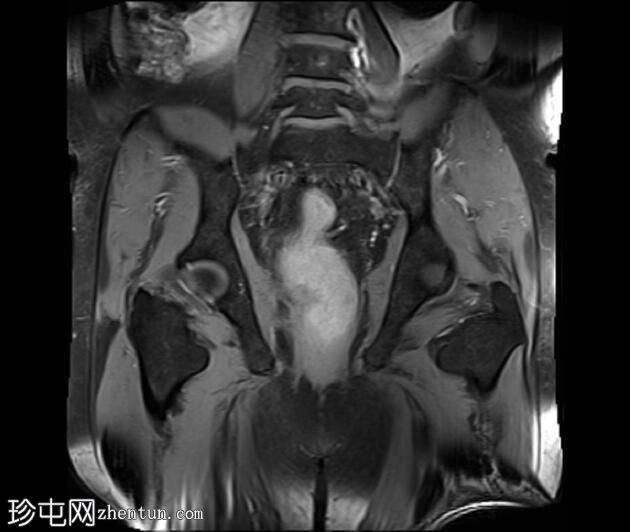
冠状位
T2加权像
3.jpeg
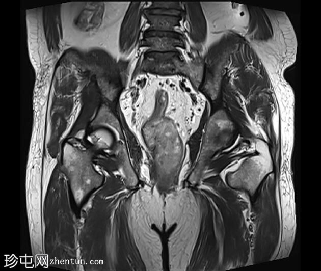
冠状位
T1加权像
4.jpeg
矢状位
PD加权像
5.jpeg
脂肪抑制像
矢状位
6.jpeg
T2加权像
矢状位
7.jpeg
T1加权像
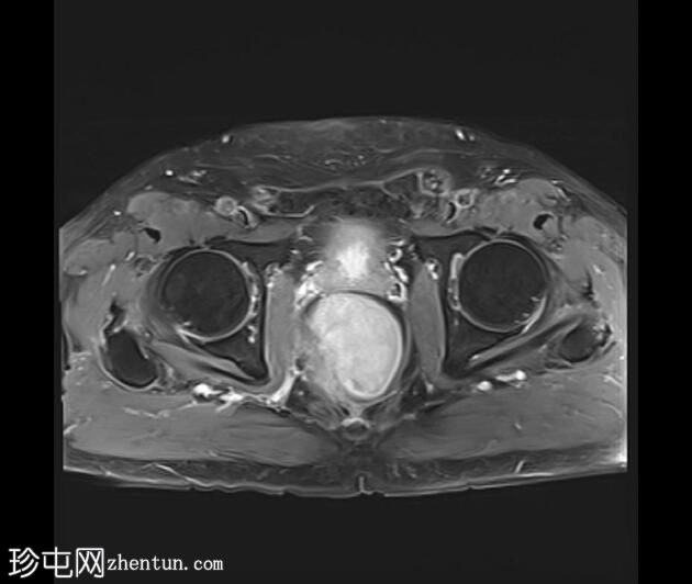
轴位
8.jpeg
T1加权像
轴位
9.jpeg
T2加权像
冠状位T1加权像
10.jpeg
脂肪抑制像
轴位T1加权像
11.jpeg
C+脂肪抑制像
冠状位T1加权像
12.jpeg
C+脂肪抑制像
矢状位T1加权像
C+脂肪抑制像

可见一不规则分叶状肿块,累及直肠中段和远端,头尾方向长约7 cm,下缘距肛缘约2.5 cm。在T1加权像和T2加权像上,该病灶相对于骨骼肌均呈高信号。 PDFS(脂肪抑制)图像显示持续高信号强度,提示存在黑色素和/或出血成分。

增强扫描显示病灶内呈不均匀强化。直肠下段7点钟位置的系膜筋膜受累。后方系膜可见少量淋巴结。未见邻近器官侵犯。

病例讨论

术后组织病理学检查证实为直肠恶性黑色素瘤。

原发性直肠黑色素瘤是一种罕见的恶性肿瘤,起源于肛门直肠黏膜内的黑色素细胞,占所有黑色素瘤的比例不到1%<sup>1</sup>。在MRI上,病灶通常在T1加权像上由于黑色素或出血而呈高信号,在T2加权像上呈中高信号。增强扫描通常呈不均匀强化。

鉴别诊断包括直肠腺癌、胃肠道间质瘤(GIST)和淋巴瘤。固有T1高信号的存在有助于提示黑色素瘤。

组织学检查通过HMB-45、S100和Melan-A免疫组化染色阳性来确诊。预后通常较差,手术切除仍然是主要的治疗方法。
您需要登录后才可以回帖 登录 | 注册
Copyright © 2011-2026 东莞市珍屯医疗科技有限公司Powered by zhentun.com
返回顶部