找回密码
 注册

膈肌上方的胃底折叠疝

作者:大江 | 时间:2025-12-31 15:00:00 | 阅读:77| 显示全部楼层
病例介绍

既往行胃底折叠术,现胃食管反流加重。

患者资料

年龄:55岁

性别:男

透视检查
1.jpeg
左前斜位(LAO)

立位

斜位

仰卧位

胃食管交界处及胃底折叠术部位位于膈肌上方。

虹吸试验证实存在胃食管反流。

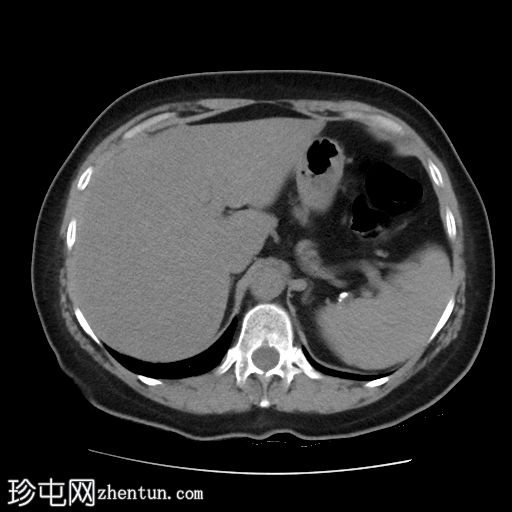
CT检查
3.jpg
轴位

平扫
4.jpg
冠状位

平扫
5.jpg
矢状位

平扫

既往行胃底折叠术部位位于膈肌上方,与透视检查结果一致。

病例讨论

该患者曾行胃底折叠术治疗大型食管裂孔疝和胃食管反流。

尽管已接受最大程度的药物治疗,但患者反流症状仍持续加重,因此前来就诊,以评估是否可通过手术治疗缓解症状。

透视和 CT 检查证实胃底折叠术已疝出到胃食管连接处上方,动态透视图像显示存在胃食管反流。
您需要登录后才可以回帖 登录 | 注册
Copyright © 2011-2026 东莞市珍屯医疗科技有限公司Powered by zhentun.com
返回顶部