找回密码
 注册

Zenker憩室

作者:大江 | 时间:2026-1-1 16:00:01 | 阅读:76| 显示全部楼层
临床表现

间歇性吞咽困难和未消化食物反流

患者资料

年龄:65岁

性别:男

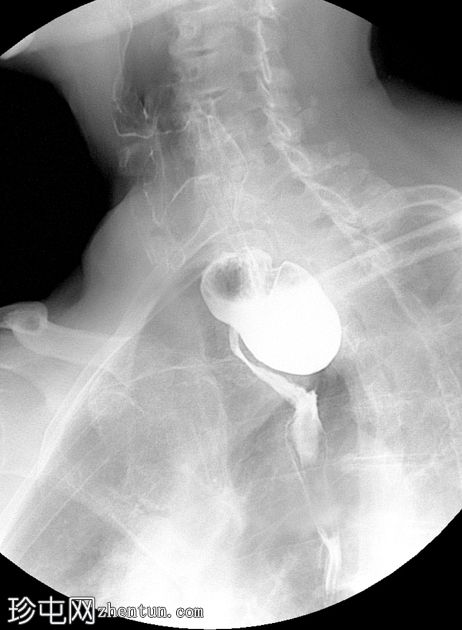
钡餐检查

透视
1.jpeg
斜位
2.jpeg
斜位
3.jpeg
正位
4.jpeg
正位
5.jpg
斜位

可见一充满造影剂的、向后突出的憩室,位于咽食管交界处后壁,大致在T1椎体水平。憩室颈部狭窄,与颈段食管相通。吞咽时憩室充满造影剂,延迟显像显示造影剂滞留。食管其余部分管径和走行正常。未见远端梗阻。

病例讨论

教学要点:

Zenker 憩室是咽后壁的推进性(假性)憩室,起源于 Killian 裂隙。

表现为后正中线向外突出的囊状物,颈部狭窄,位于 T1(C5-C6)水平或略低于该水平。

与牵引性憩室的区别在于位置(颈段 vs. 胸段)和机制(推进性 vs. 牵引性)。

钡餐侧位片显示最佳。
您需要登录后才可以回帖 登录 | 注册
Copyright © 2011-2026 东莞市珍屯医疗科技有限公司Powered by zhentun.com
返回顶部