找回密码
 注册

Chilaiditi征

作者:大江 | 时间:2026-1-2 16:00:02 | 阅读:107| 显示全部楼层
病例介绍

对一位无症状患者进行常规健康检查。

患者资料

年龄:20岁

性别:女
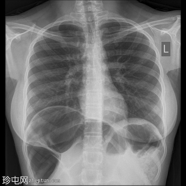
1.jpeg
X光片

右侧膈肌抬高,原因是结肠位于肝脏和抬高的膈肌之间。

病例讨论

Chilaiditi征是一种罕见且常为偶然发现的胸腹部常规X光片征象,据报道其发生率在0.025%至0.28%之间<sup>3</sup>。其特征是肠道(通常是结肠)位于肝脏和膈肌之间。易感因素包括悬韧带松弛、先天性肠管错位和突发性体重下降。

Chilaiditi征可能被误诊为气腹,而气腹在急性腹痛的情况下被视为急症。因此,Chilaiditi征是假性气腹的病因之一。

当 Chilaiditi 征伴有腹痛、呼吸困难、便秘、恶心和/或呕吐等症状时,就称为 Chilaiditi 综合征。
您需要登录后才可以回帖 登录 | 注册
Copyright © 2011-2026 东莞市珍屯医疗科技有限公司Powered by zhentun.com
返回顶部