找回密码
 注册

浸润性肝细胞癌

作者:大江 | 时间:2026-1-4 16:00:01 | 阅读:106| 显示全部楼层
病例介绍

已知慢性乙型肝炎病例,因腹痛和体重减轻就诊。

患者资料

年龄:45岁

性别:男

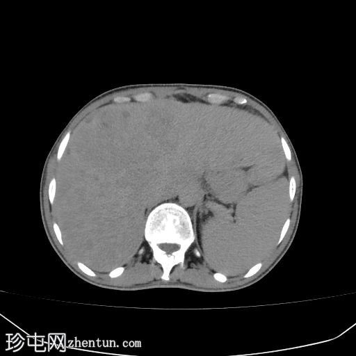
腹部(肝脏)CT
1l.jpg
轴位

平扫
2.jpg
轴位增强扫描

动脉期
3l.jpg
轴位增强扫描

门静脉期
4l.jpg
轴位增强扫描

延迟期

肝硬化征象包括表面和实质结节、实质异质性、右后肝切迹征和容积重分布。

门静脉可见肿瘤血栓,表现为血栓强化。

肝脏可见无数细小病灶,动脉期呈非环状强化,门静脉期呈消退,提示弥漫性肝细胞癌。

其他发现包括腹水和左侧肾上腺可疑增厚。

肝活检

病理
5.jpeg
肝活检确诊为弥漫性肝细胞癌(HCC),伴有慢性肝炎(轻度活动性)和纤维化,分期为3-4/4期(改良Scheuer分级)。

免疫组化显示,所有肿瘤细胞均弥漫性强阳性表达HepPar1。CK7表达不一,主要位于假腺腔内。

病例讨论

肝硬化合并弥漫性HCC是一种具有挑战性的LI-RADS观察结果,其特征是大量边界不清的结节占据了大部分肝脏。

在多期CT或MRI扫描中,这些浸润性结节表现出明显的非环状动脉期高强化(APHE),这是诊断的关键特征。然而,随后的“消退”通常不明显,且由于肝硬化肝脏背景强化不均匀,其解读较为复杂。

MRI 通过显示受限扩散来增加价值,在 DWI 上表现为高信号,在 ADC 图上表现为相应的低信号,这可以作为一项有价值的辅助特征,提高 HCC 的诊断信心。
您需要登录后才可以回帖 登录 | 注册
Copyright © 2011-2026 东莞市珍屯医疗科技有限公司Powered by zhentun.com
返回顶部