找回密码
 注册

肠系膜类癌

作者:大江 | 时间:2026-1-5 16:00:05 | 阅读:76| 显示全部楼层
临床表现

小肠梗阻的特征

患者资料

年龄:80岁

性别:男

CT
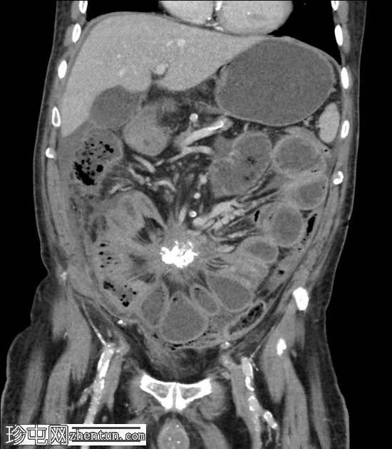
冠状位增强扫描(门静脉期)
1.png
矢状位增强扫描(门静脉期)
2.png
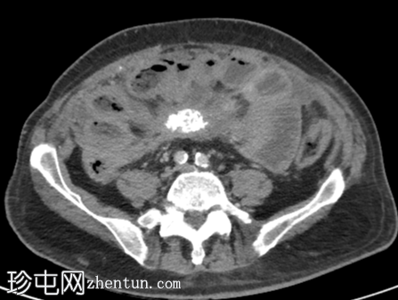
轴位增强扫描(门静脉期)
3.png
肠系膜可见一软组织密度增高的肿块,大小为34 x 67 mm,部分钙化,边缘呈毛刺状,牵拉多个小肠袢,提示存在促纤维增生反应。

肠系膜上动脉(SMA)与该肿块关系密切。

肠系膜充血和肠壁增厚。近端小肠轻度扩张。

根据大小标准,未见腹盆腔淋巴结肿大。

右下腹可见腹膜结节,最大结节大小为28 x 19 mm。

大网膜呈结节状增厚。

少量腹水和胸腔积液。

未见其他转移。

未发现疑似小肠原发肿瘤

显著的动脉粥样硬化、多发性小肾梗死和非梗阻性结石。

病理(大网膜活检)

肉眼观察:标本标记为“大网膜”,由一块纤维脂肪组织构成,大小为 77 x 24 x 2 mm。

显微镜下观察:大网膜组织切片显示多灶性转移性、分化良好的低级别神经内分泌肿瘤(NET G1)。单个转移灶大小不一,从小于 0.5 mm(仅由几个小肿瘤巢组成)到最大直径约 5 mm 不等。虽然主要结构模式为小肿瘤巢,但也存在假腺泡状、筛状片状和梁状生长区域。单个细胞形态相对均一,为具有圆形细胞核和主要呈颗粒状染色质的小型上皮样细胞。偶见细胞核,核仁较小。有丝分裂活性不明显,每2平方毫米不足1个有丝分裂象。Ki67增殖率约为2%。未见坏死。可见疑似淋巴血管间隙浸润的病灶,且浆膜游离面多灶性受累。INSM1和嗜铬粒蛋白染色强阳性,证实肿瘤细胞具有神经内分泌性质。

总结:转移性高分化低级别神经内分泌肿瘤(NET G1),浆膜游离面多灶性受累。

病例讨论

肠系膜肿瘤沉积(MTDs)是小肠类癌的标志,通常在影像学上难以发现,其来源于分泌血清素的肠嗜铬细胞。

促纤维增生反应由血清素介导。生长抑素类似物如奥曲肽具有抗增殖作用,可延长生存期。

肠系膜脂肪组织中的肿瘤沉积物(MTD)表现为淋巴血管侵犯,而淋巴结转移灶则由外周淋巴组织构成,并有包膜包裹。

MTD预示着不良预后——淋巴血管侵犯可导致肝转移,腹膜沉积则提示经浆膜扩散。

原发肿瘤和肠系膜肿块的手术切除取决于血管侵犯程度,手术切除可避免肠梗阻、肠梗阻、静脉和淋巴淤血、缺血和坏疽等并发症。
您需要登录后才可以回帖 登录 | 注册
Copyright © 2011-2026 东莞市珍屯医疗科技有限公司Powered by zhentun.com
返回顶部