找回密码
 注册

腐蚀性食管狭窄

作者:大江 | 时间:2026-1-6 16:00:00 | 阅读:104| 显示全部楼层
临床表现

反复餐后呕吐,体重下降超过一个月。家长不确定是否摄入了腐蚀性物质。患儿消瘦脱水。

患者资料

年龄:2岁

性别:男

透视检查
1.png
正位片

腹部平片
2.png
侧位片

正位片
3.png
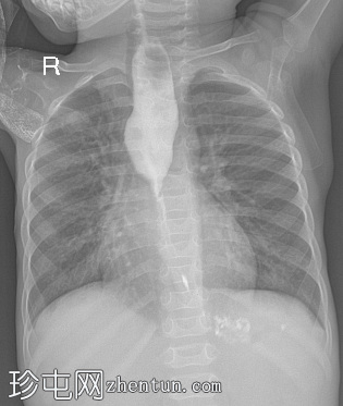
正位片显示舟状腹,肠道气体稀少。

食管造影(正位和侧位)显示近端胸段食管扩张,下段胸段食管呈锥形狭窄,不规则。胃底可见少量造影剂。未见造影剂漏入气道、纵隔、胸膜腔或腹膜腔。

现有2个病例问题

病例讨论

摄入腐蚀性物质会导致严重伤害,且与高发病率和死亡率相关。低收入人群的发病率较高。儿童中,1至5岁儿童的发病率较高。腐蚀性损伤主要累及上消化道,尤其是中下段食管。损伤程度从轻微的黏膜刺激到全层坏死、穿孔甚至死亡不等。常见的并发症包括食管狭窄,可导致吞咽困难,进而造成营养不良。

就诊时间对治疗方案的选择至关重要。复苏、气道管理和血流动力学稳定通常是初始治疗的一部分。慢性期使用的介入放射学程序包括:球囊扩张或支​​架置入狭窄、粘液囊肿和术后积液引流,血管并发症的血管内栓塞,经皮空肠造瘘术,以及对手术隔离的食管中发生的恶性肿瘤进行影像引导活检。
您需要登录后才可以回帖 登录 | 注册
Copyright © 2011-2026 东莞市珍屯医疗科技有限公司Powered by zhentun.com
返回顶部