找回密码
 注册

遗传性血管性水肿

作者:大江 | 时间:2026-1-7 16:00:00 | 阅读:80| 显示全部楼层
临床表现

腹痛和严重腹泻。白细胞计数升高。

患者资料

年龄:60岁

性别:男

CT
轴位增强扫描(门静脉期)
1.jpeg
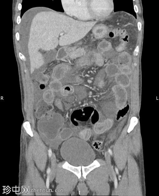
冠状位增强扫描(门静脉期)
2.jpeg
小肠袢普遍扩张,无明显移行点。小肠壁弥漫性水肿,提示潜在的炎症改变。腹主动脉及其主要分支通畅,未见血栓或明显的动脉粥样硬化病变。腹盆腔内有大量游离液体。未见肠穿孔。大肠外观正常。腹盆腔内未见明显肿大的淋巴结。

病例讨论

小肠弥漫性水肿。影像表现无特异性,鉴别诊断包括感染、炎症以及(可能性较小)缺血性病变。

随后发现该患者患有C1酯酶抑制剂缺乏症,符合遗传性血管性水肿的诊断。这种疾病是导致此类症状的罕见原因,当患者接受标准治疗方案后症状未见改善时,应将其纳入鉴别诊断。

医生为该患者处方了伊卡替班(一种缓激肽B2受体拮抗剂),用于急性发作期。
您需要登录后才可以回帖 登录 | 注册
Copyright © 2011-2026 东莞市珍屯医疗科技有限公司Powered by zhentun.com
返回顶部