找回密码
 注册

阑尾脓肿

作者:大江 | 时间:2026-1-8 16:00:00 | 阅读:95| 显示全部楼层
临床表现

右髂窝腹痛3天。

患者资料

年龄:30岁

性别:男

CT
1.jpg
轴位

平扫
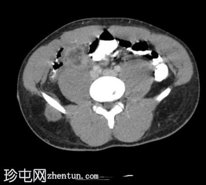
2.jpg
轴位增强扫描

动脉期
3.png
轴位增强扫描

门静脉期

阑尾壁增厚并强化。

阑尾与一个厚壁强化脓肿相连,脓肿大小约3.2 x 4.3 cm(横径 x 纵径),内含气体。

周围肠系膜淋巴结肿大,脂肪浸润,并可见积液。

盲肠极炎症性增厚。

术中发现

病理
4.jpeg
切除标本显示阑尾炎及包裹性阑尾脓肿。

病例讨论

影像学特征提示复杂性阑尾炎伴穿孔及包裹性阑尾脓肿。

此处给予口服造影剂是医院常规操作的一部分。然而,仅使用静脉注射造影剂也能准确诊断阑尾炎,这样可以避免不必要的诊断和手术治疗延误。目前典型的操作流程是进行单次门静脉期扫描(注射后 60-70 秒),造影剂剂量为 1.5 mg/kg,注射速度为 3-4 ml/s。
您需要登录后才可以回帖 登录 | 注册
Copyright © 2011-2026 东莞市珍屯医疗科技有限公司Powered by zhentun.com
返回顶部