找回密码
 注册

子宫破裂

作者:大江 | 时间:2025-12-11 15:00:05 | 阅读:106| 显示全部楼层
临床表现

剖宫产术后出现贫血、心动过速和低血压。需排除腹腔内血肿。

患者资料

年龄:30岁

性别:女

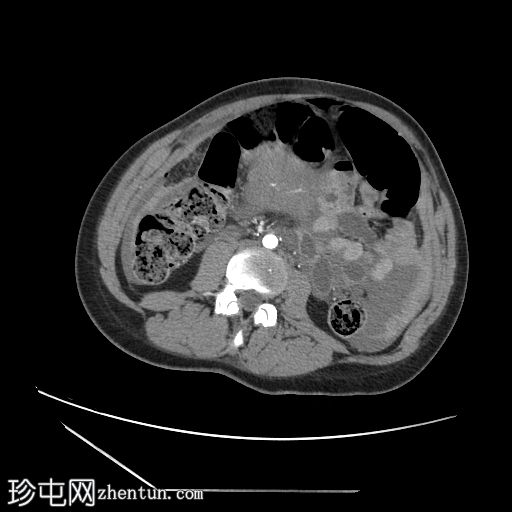
CT
轴位增强扫描

动脉期
1.jpg
轴位增强扫描

门静脉期
2.jpg
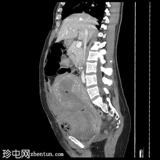
矢状位增强扫描
门静脉期
3.jpg
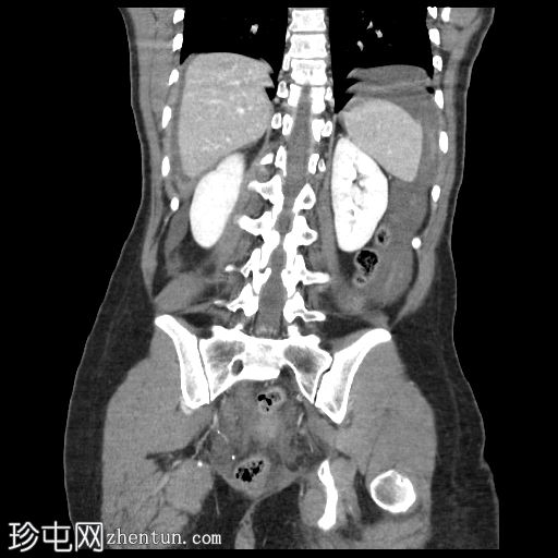
冠状位增强扫描
门静脉期
4.jpg
冠状位增强扫描
门静脉期
5.jpg
子宫增大,复旧不全,子宫体前壁全层缺损,位于近期剖宫产部位,气体和液体从子宫内膜腔经壁缺损扩散至子宫外旁组织。

膀胱瓣膜血肿和腹壁血肿较大。

腹腔内有大量游离液体和血腹,无活动性出血。

病例讨论

剖宫产术后子宫破裂是一种罕见但严重的并发症。 CT扫描显示子宫前壁全层存在不规则的低密度缺损,而子宫前壁其他部分则呈规则强化。

气体或液体通过子宫壁缺损从子宫内膜腔扩散至腹膜腔或宫旁腔,可提高诊断的特异性。

辅助征象包括腹腔积血、盆腔血肿和腹腔内游离液体。
您需要登录后才可以回帖 登录 | 注册
Copyright © 2011-2026 东莞市珍屯医疗科技有限公司Powered by zhentun.com
返回顶部