找回密码
 注册

卵巢扭转

作者:大江 | 时间:2025-12-14 15:00:01 | 阅读:99| 显示全部楼层
临床表现

突发剧烈下腹部疼痛伴呕吐。

患者资料

年龄:35岁

性别:女

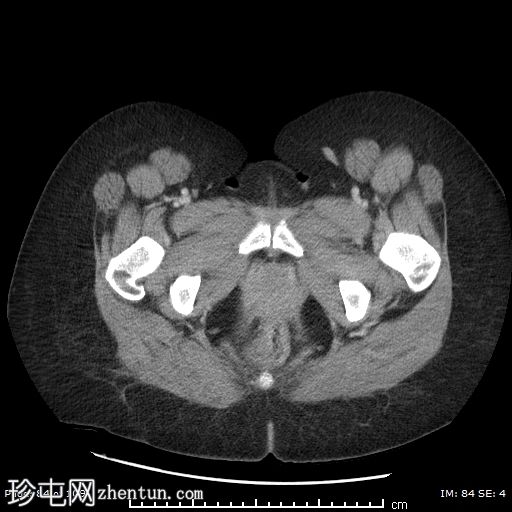
CT
轴位增强扫描(门静脉期)
1.jpg
冠状位平扫
2.jpg
矢状位平扫
3.jpg
左侧附件区可见一巨大囊性病变,大小约9 x 12 cm,主要呈液体密度,囊壁光滑薄。

邻近一复杂囊性成分,向中线延伸,大小约10 x 9 cm,内部可见分隔及不均匀液体密度,提示内容物可能为出血性或部分复杂性。

左侧附件区可见一边界清晰的卵圆形低密度肿块,大小约4 x 4 cm,囊壁厚,内部为软组织、脂肪和液体混合密度,符合成熟囊性畸胎瘤(皮样囊肿)的影像学表现。

左侧附件血管蒂扭转,形成血管和软组织呈漩涡状排列,高度提示卵巢扭转。

可见轻度卵巢周围脂肪条索状改变和少量邻近盆腔积液,可能为继发性充血和水肿。

由于左侧附件增大的组织结构压迫,子宫向右侧移位。

右侧附件未见异常。

阑尾大小和直径正常,无急性阑尾炎的证据。

病例讨论

卵巢扭转是一种妇科急症,不容延误。如果不能迅速恢复血供,卵巢会因血流中断而坏死或梗死。

症状通常突然出现在下腹部/盆腔,且为单侧,伴有恶心和呕吐;然而,这些症状通常不具有特异性,可能与其他疾病相似,因此保持高度警惕至关重要。

卵巢囊肿/肿块患者、孕妇、接受卵巢激素刺激/不孕症治疗的女性以及育龄女性发生卵巢扭转的风险更高;然而,卵巢扭转也可能发生于初潮前女孩和绝经后女性。

该患者接受了腹腔镜手术切除左侧卵巢成熟畸胎瘤。切除时发现部分出血;之后又进行了左侧输卵管卵巢切除术、左侧卵巢囊肿切除术和卵巢囊肿切除术。
您需要登录后才可以回帖 登录 | 注册
Copyright © 2011-2026 东莞市珍屯医疗科技有限公司Powered by zhentun.com
返回顶部