找回密码
 注册

卵巢扭转引起的出血性梗死

作者:大江 | 时间:2025-12-15 15:00:00 | 阅读:98| 显示全部楼层
病例介绍

患者主诉右髂窝疼痛、恶心呕吐及发热1天。

患者资料

年龄:20岁

性别:女

CT
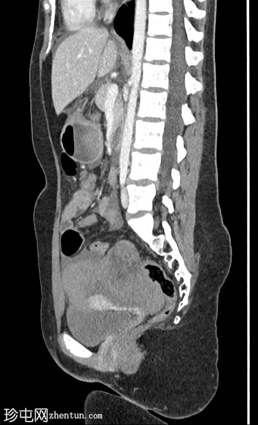
冠状位增强扫描(门静脉期)
1.jpg
矢状位增强扫描(门静脉期)
2.jpg
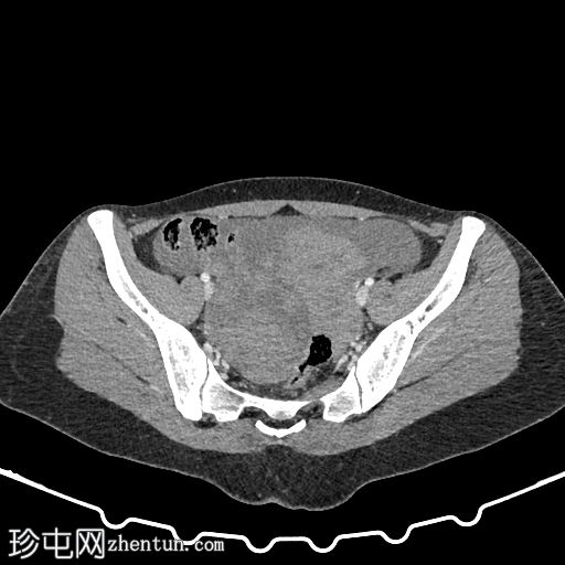
轴位增强扫描(门静脉期)
dr-original.jpg
右侧附件区可见巨大复杂肿块,伴盆腔血肿及腹水。子宫内可见积液。

病例讨论

患者出现上述症状,尿妊娠试验阴性。行CT检查后,血清β-hCG检测证实患者未怀孕。

初步鉴别诊断包括:卵巢囊肿破裂、卵巢肿瘤、卵巢过度刺激综合征(常见于接受生育治疗的患者)以及盆腔炎(PID),但盆腔炎的可能性较小。

患者被紧急转诊至妇科,并接受了手术治疗。患者接受了附件切除术。右侧卵巢和输卵管的组织病理学检查显示出血性梗死,与卵巢扭转病史相符。
您需要登录后才可以回帖 登录 | 注册
Copyright © 2011-2026 东莞市珍屯医疗科技有限公司Powered by zhentun.com
返回顶部