找回密码
 注册

子宫肌瘤脱垂

作者:大江 | 时间:2025-12-18 15:00:00 | 阅读:91| 显示全部楼层
临床表现

子宫出血

患者资料

年龄:45岁

性别:女

MRI
轴位
T1加权像
1.jpg
轴位
T2加权像
2.jpg
矢状位
T2加权像
3.jpg
冠状位
T2加权像
4.jpg
矢状位T1加权像(增强扫描)

脂肪抑制动态增强
5.jpg
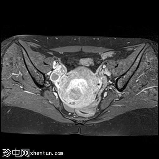
轴位T1加权像(增强扫描)

脂肪抑制动态增强
6.jpg
矢状位T1加权像(增强扫描)

增强扫描(脂肪抑制)
7.jpg
子宫增大,前倾后屈,可见多发大小不一、位置各异的壁内肌瘤(主要位于Figo 2、5和6区)。

一个边界清晰的带蒂宫腔内肿块经扩张的宫颈管脱出。T1加权像上呈等信号,T2加权像上呈中低信号,周围环绕着高信号的子宫内膜,静脉注射对比剂后呈明显不均匀强化。

双侧卵巢外观正常,可见小卵泡。

病例讨论

MRI 影像特征最符合带蒂子宫肌瘤经扩张的宫颈管脱垂,并伴有多个子宫肌瘤。
您需要登录后才可以回帖 登录 | 注册
Copyright © 2011-2026 东莞市珍屯医疗科技有限公司Powered by zhentun.com
返回顶部