找回密码
 注册

卵巢过度增生症

作者:大江 | 时间:2025-12-20 15:00:01 | 阅读:97| 显示全部楼层
临床表现

多毛症和肥胖。既往超声检查提示宫颈囊性病变和双侧卵巢增大。

患者资料

年龄:40岁

性别:女

MRI
轴位

T2加权像
1.png
冠状位

T2加权像
2.png
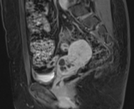
矢状位

T2加权像
3.png
轴位T1加权像

增强脂肪抑制像
4.png
矢状位T1加权像

增强脂肪抑制像
5.png
轴位
DWI
6.png
轴位
ADC
7.png
双侧卵巢增大,间质体积明显增多,T2加权像呈弥漫性低信号,可见多个小卵泡。

右侧卵巢体积为27 cm³。

左侧卵巢体积为26 cm³,内含一个直径15 mm的囊肿,边缘呈锯齿状,周边强化。

未见可疑实性成分或异常增强。

宫颈可见多个呈分叶状排列的小囊性病变。

病例讨论

卵巢增生症是一种功能性卵巢疾病,其特征是卵巢间质增生,其中含有黄素化的卵泡膜细胞,代表一种产生雄激素的间质过程。它是卵巢高雄激素血症谱系的一部分,与多囊卵巢综合征(PCOS)有相似之处,但通常发生于围绝经期和绝经后妇女。

患者通常表现为高雄激素血症症状,包括多毛症、肥胖、高血压和糖耐量受损。

组织学上,卵巢间质增生,含有散在分布的黄素化卵泡膜细胞,呈单个细胞或小簇状,这与PCOS不同,PCOS中这些细胞局限于卵泡周围。

MRI通常显示双侧对称性卵巢增大、均匀T2低信号和轻度间质强化。可见外周卵泡,但数量少于多囊卵巢综合征(PCOS)患者。这些发现与卵巢间质肥大和黄素化卵泡膜细胞相符,这些特征符合卵巢卵泡膜增生症的诊断。

本例中,由于缺乏激素检测结果,无法确诊。
您需要登录后才可以回帖 登录 | 注册
Copyright © 2011-2026 东莞市珍屯医疗科技有限公司Powered by zhentun.com
返回顶部