找回密码
 注册

子宫内膜异位症

作者:大江 | 时间:2025-12-22 16:00:04 | 阅读:71| 显示全部楼层
临床表现

痛经,右侧盆腔疼痛

患者资料

年龄:35岁

性别:女

MRI
轴位T1加权像

脂肪抑制像
1.jpg
轴位
T1加权像
2.jpg
轴位
DWI
3.jpg
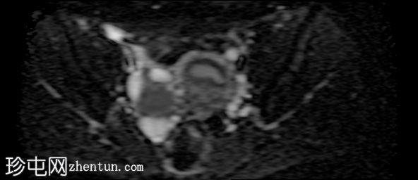
轴位
等密度DWI
4.jpg
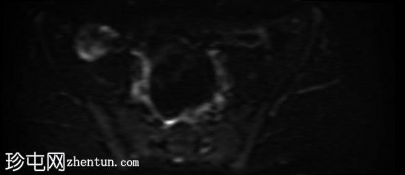
轴位
等密度ADC像
5.jpg
轴位T1加权像

增强脂肪抑制像
6.jpg
冠状位T1加权像

增强脂肪抑制像
7.jpg
矢状位T1加权像
增强脂肪抑制像
8.jpg
矢状位
T2加权像
9.jpg
冠状位
T2加权像
10.jpg
冠状位
T1加权像
11.jpg
冠状位
STIR序列
12.jpg
轴位
T2加权像
13.jpg
轴位
STIR序列
14.jpg
在右侧附件区可见一较大病灶,最大轴位和头尾径约为3 x 3.8 x 3.7 cm。该病灶在T1加权像上呈高信号,脂肪抑制像上无信号抑制,在T2加权像上呈低信号(阴影效应)。病灶壁可见T2暗点征结节,增强扫描后未见明显强化。

右侧附件区可见两个较小的类似病灶,最大径约1.2 cm。

此外,右侧附件区可见一扩张的管状结构,最大轴向和头尾径约6.3 x 2.1 x 5.2 cm。

该结构T1呈低至中等信号,T2呈高信号,分隔不完整。增强扫描未见明显强化,符合输卵管积水表现。

双侧卵巢呈多囊性形态,优势卵泡保留。符合多囊卵巢(PCO)的影像学表现,T2加权像呈高信号,T1加权像呈低信号,并可见薄壁强化。

右侧道格拉斯窝内可见少量游离液体,可能为反应性积液。

病例讨论

所描述的右侧附件病灶具有典型的子宫内膜异位囊肿MRI特征,包括T1高信号(无脂肪抑制)和T2低信号(阴影)。T2暗点征的存在进一步支持慢性出血性内容物。

相关的较小病灶可能代表其他子宫内膜异位种植灶。

扩张的管状结构伴有T2高信号和不完全分隔,符合输卵管积水的表现,输卵管积水常见于盆腔子宫内膜异位症。少量邻近游离液体通常为反应性积液。
您需要登录后才可以回帖 登录 | 注册
Copyright © 2011-2026 东莞市珍屯医疗科技有限公司Powered by zhentun.com
返回顶部