找回密码
 注册

子宫内翻

作者:大江 | 时间:2025-12-23 16:00:03 | 阅读:77| 显示全部楼层
临床表现

阴道出血。

患者资料

年龄:85岁

性别:女

MRI
矢状位

T2
1.jpg
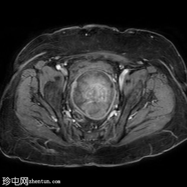
轴位

T2
2.jpg
冠状位

T2
3.jpg
冠状位

T1
4.jpg
轴位

DWI
5.jpg
轴位

ADC
6.jpg
矢状位 T1
C+脂肪抑制
7.jpg
轴位

T1
8.jpg
轴位 T1
C+脂肪抑制
9.jpg
轴位

T1 C+
10.jpg
冠状位

T1 C+
11.jpg
轴位

T2
12.jpg
轴位

STIR
13.jpg
轴位

T1
14.jpg
冠状位

T1
15.jpg
轴位
ADC
16.jpg
轴位

DWI
17.jpg
冠状位

T2
18.jpg
轴位
T1 C+
19.jpg
冠状位
T1 C+
20.jpg
子宫呈U形,宫底轮廓消失,宫底突出至扩张的阴道内,宫颈位于内翻的宫底上方(II级子宫内翻):

宫底处可见阴道内可见边界不清、分叶状实性肿块,明显扩张阴道壁,阴道壁完整。

肿块最大轴向及头尾径约为 9.7 x 9.6 x 9.5 cm,T1 加权像呈低信号,T2 加权像呈中/高信号,伴有扩散受限和不均匀增强。

肿块前方压迫膀胱,后方紧邻乙状结肠,未见侵犯。

肿块压迫左侧远端输尿管,导致轻度输尿管肾积水。

左侧附件复合体病变,包含实性和囊性成分,轴向径约为 5.3 x 4.7 cm。实性成分 T1 加权像呈低信号,T2 加权像呈中信号,伴有扩散受限和增强。

L5 椎体滑脱 2 度。

耻骨联合炎。

病例讨论

检查结果显示为 II 级子宫内翻,子宫底可见一巨大肿瘤性实性肿块,该肿块延伸并扩张了阴道,具体情况如上所述。

左侧附件复杂肿瘤性病变。

子宫内翻分级:

I 级:子宫底向内凹陷,但未超出宫颈口。

II 级:子宫底突出于宫颈口。

III 级:子宫完全内翻并突出于阴道口外。

子宫内翻,也称为子宫套叠,是一种罕见且可能危及生命的疾病,指子宫底塌陷至子宫腔内。它最常发生于分娩期间或分娩后不久(产褥期子宫内翻),但也可因子宫肿块而发生于非产褥期患者。

矢状位MRI:显示子宫呈U形,正常的凸形宫底轮廓消失。

轴位MRI:可能显示靶环状或同心环状结构,提示子宫内膜存在不同层次。

MRI有助于确定病因,尤其是在非产褥期病例中(例如,子宫肌瘤、子宫肌肉瘤或子宫内膜恶性肿瘤),如本例所示。
您需要登录后才可以回帖 登录 | 注册
Copyright © 2011-2026 东莞市珍屯医疗科技有限公司Powered by zhentun.com
返回顶部