找回密码
 注册

双侧输卵管阻塞,呈类似静脉肾盂造影(IVP)表现

作者:大江 | 时间:2026-1-3 16:00:00 | 阅读:122| 显示全部楼层
病例介绍

原发性不孕症

患者资料
年龄:35岁

性别:女

透视检查
1.jpeg
正位
2.jpeg
正位
3.jpeg
正位
4.jpeg
正位
5.jpeg
正位
6.jpeg
正位
7.jpeg
正位
8.jpeg
正位

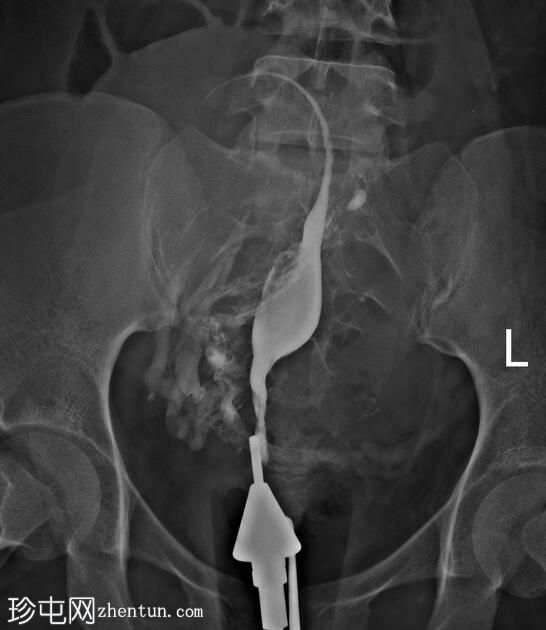
经宫颈管注入造影剂后,子宫腔被充盈。

子宫体位于盆腔中线,呈梭形。

子宫底和子宫体右侧内膜腔可见稳定的充盈缺损,经生理盐水灌注子宫声学造影(未显示)证实为子宫内膜息肉。

可见右侧输卵管走行,蠕动缓慢,未见因输卵管阻塞导致的腹膜溢出。

超声检查(图中未显示)显示,子宫右侧宫底及宫体部存在一个 8 x 9 cm 的壁内浆膜下肌瘤。该肌瘤压迫右侧输卵管的起始部及走行路径,导致其呈垂直走行。

由于输卵管阻塞,左侧输卵管从远端至峡部初级段未显影。

注射更多造影剂后,造影剂渗入子宫肌层静脉和右侧性腺静脉,随后进入肾静脉。

手术开始三分钟后,造影剂进入肾脏,充盈肾盂肾盏系统,然后流入输尿管和膀胱,形成类似于静脉肾盂造影(IVP)的影像

病例讨论

子宫输卵管造影术中出现类似静脉肾盂造影的影像提示可能存在输卵管阻塞,这是由于造影剂流入输卵管并随后流入性腺静脉受阻所致。
您需要登录后才可以回帖 登录 | 注册
Copyright © 2011-2026 东莞市珍屯医疗科技有限公司Powered by zhentun.com
返回顶部