首页
Portal
订阅
产品资料
医疗器械
外科训练
医学论坛
BBS
关于我们
联系我们
登录
立即登录
立即注册
其他登录
QQ
微信
搜索
搜索
本版
文章
帖子
用户
本版
文章
帖子
用户
首页
Portal
订阅
产品资料
医疗器械
外科训练
医学论坛
BBS
关于我们
联系我们
账号
自动登录
找回密码
密码
登录
注册
外科
内科
第三
第四
中医
辅助
执业
教育
专区
好友
帖子
收藏
淘帖
分享
记录
留言板
门户
导读
排行榜
设置
我的收藏
退出
珍屯医学
»
医学论坛
›
第三
›
妇科产科
›
含有卵巢的努克氏管疝
返回列表
含有卵巢的努克氏管疝
[复制链接]
作者:
大江
|
时间:
2026-1-4 16:00:01
|
阅读:102
|
显示全部楼层
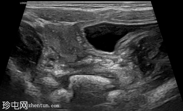
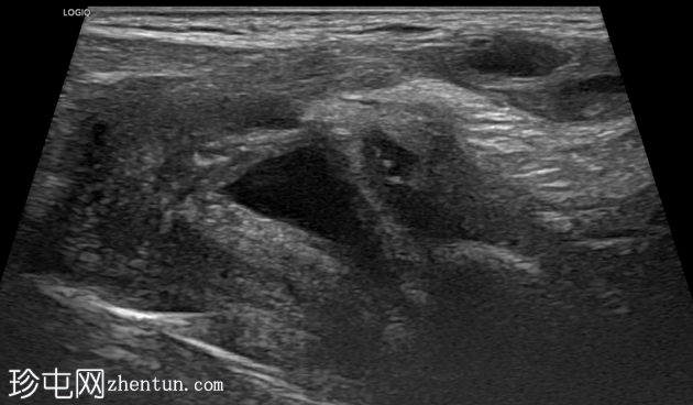
就诊情况
由于近期发现婴儿右侧腹股沟肿胀且烦躁不安,母亲带婴儿前来就诊。
患者资料
年龄:1个月
性别:女
超声
检查
横切面
纵切面
横切面
纵切面
纵切面
横切面
纵切面
横切面
横切面
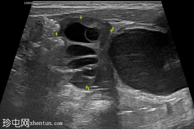
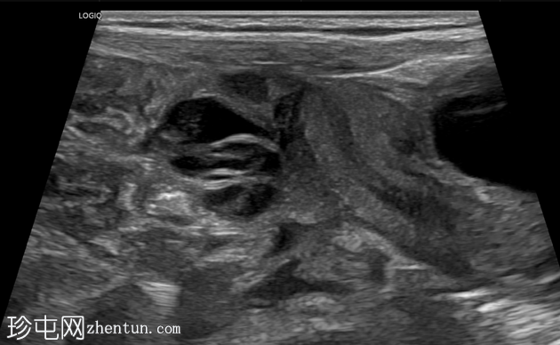
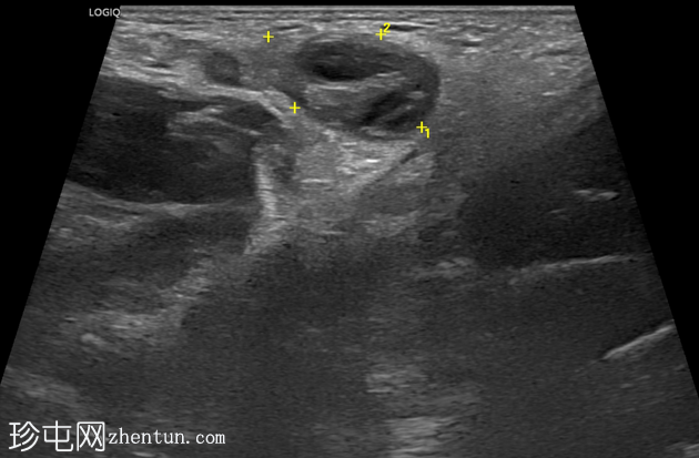
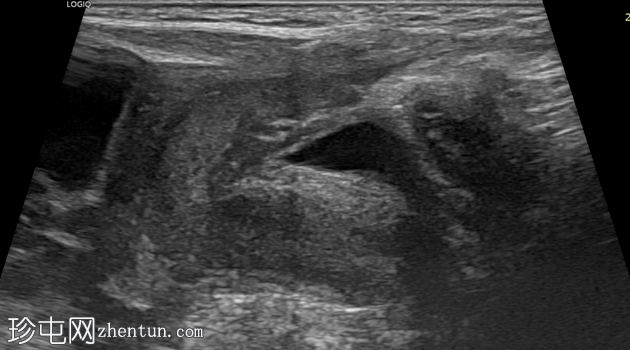
右侧努克氏疝管长约6毫米,内含部分子宫和卵巢(大小约1.5 x 1厘米)。在整个检查过程中,这些组织均保持原位。
对侧附件呈多囊性改变,大小约3 x 1.8厘米。
膀胱外观大致正常。
病例讨论
上述超声特征清晰地显示了努克氏疝管的内容物及其延伸范围;其中包含患者的一侧卵巢和部分子宫组织。
这些特征符合卵巢努克氏疝的诊断。
回复
举报
返回列表
发表新帖
高级模式
B
Color
Image
Link
Quote
Code
Smilies
您需要登录后才可以回帖
登录
|
注册
大江
关注Ta
主题 17556
帖子 16642
积分 42140
此人很懒,什么也没留下。
•
轻松订阅最新动态(简易法)
•
珍屯网“股份”积分策略
•
会员注册规则说明——试行
•
您看好“外资独资办医”吗?欢迎大家投票和讨论
•
为各位医友推荐些好书!可代购
•
无排卵
•
《简明体格检查图解》┊陈清兰,郑智远编著.PDF
•
全国实践技能考试准考证打印一览表
阅读作者更多精彩帖子
热门问答
更多>
0
新月形骨折伴骨盆LC II损伤
60人围观, 发布于2026-01-29
0
三角骨骨折
57人围观, 发布于2026-01-30
0
腰骶移行椎(Castellvi 2b 型)
63人围观, 发布于2026-01-31
0
Hill-Sachs 缺陷伴 Bankart 病变
53人围观, 发布于2026-02-01