找回密码
 注册

成熟囊性卵巢畸胎瘤伴附件扭转

作者:大江 | 时间:2026-1-5 16:00:05 | 阅读:393| 显示全部楼层
临床表现

全腹疼痛伴呕吐。

患者资料

年龄:35岁

性别:女

CT
1.jpg
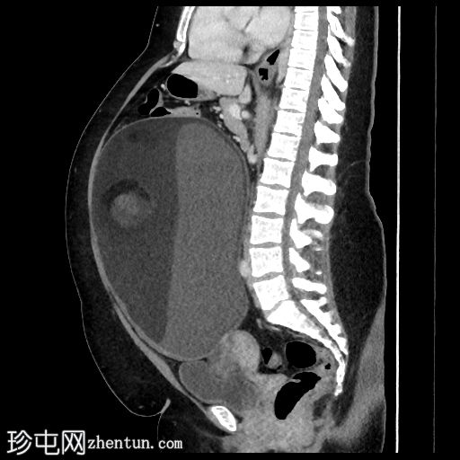
矢状位增强扫描(门静脉期)
2.jpg
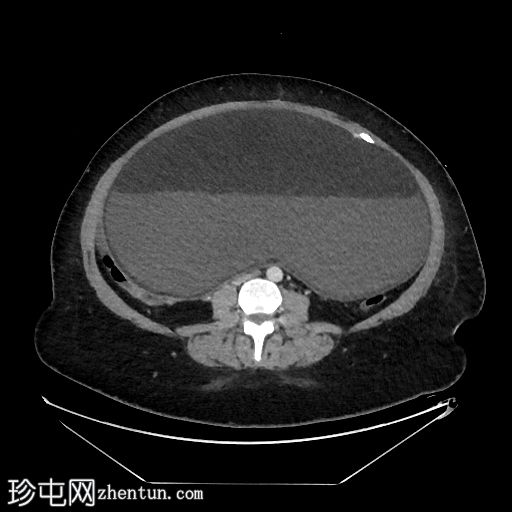
轴位增强扫描(门静脉期)
3.jpg
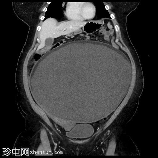
冠状位增强扫描(门静脉期)

盆腹腔巨大囊性病变,可见脂肪液平面及漂浮球征(脂肪/软组织团块漂浮)

病变周边可见钙化灶

左侧附件呈旋涡状外观,提示附件扭转

以上影像学表现提示左侧卵巢成熟囊性畸胎瘤伴附件扭转

右侧附件病变主要由脂肪组成,伴钙化及软组织成分

照片
4.jpeg
切除肿块的组织病理学检查证实为成熟囊性畸胎瘤。

病例讨论

成熟囊性卵巢畸胎瘤(皮样囊肿)是一种良性生殖细胞肿瘤,约占所有卵巢肿瘤的10%~20%。其年发病率估计约为每10万名女性1.2~14.2例。

CT影像上的典型特征包括病灶内脂肪衰减、脂肪-液体平面、钙化(通常为牙齿或骨骼成分)以及含有软组织、毛发甚至实性成分的Rokitansky结节(皮样结节)。一种较为罕见但引人注目的征象是“漂浮球”征,即多个脂肪性(或角蛋白性)小球在囊腔内自由漂浮。这被认为是成熟畸胎瘤的特征性表现。

由于成熟的囊性畸胎瘤可增大并对附件造成扭转应力,因此必须始终评估附件扭转的可能性,这是一种外科急症⁵。CT 扫描中,扭转的证据包括卵巢位置异常、子宫向患侧偏移、卵巢增大和水肿以及血管蒂扭转(“漩涡征”)。及时识别扭转至关重要,因为延迟手术复位可能危及卵巢的存活⁵。

在本病例中,由于畸胎瘤体积较大且术中发现附件扭转的证据,患者接受了左侧输卵管卵巢切除术。
您需要登录后才可以回帖 登录 | 注册
Copyright © 2011-2026 东莞市珍屯医疗科技有限公司Powered by zhentun.com
返回顶部