找回密码
 注册

双角子宫伴单侧子宫角腺肌症和肌瘤

作者:大江 | 时间:2026-1-6 16:00:00 | 阅读:116| 显示全部楼层
就诊情况

阴道出血。

患者资料

年龄:39岁

性别:女

MRI
矢状位

T2加权像
1.png
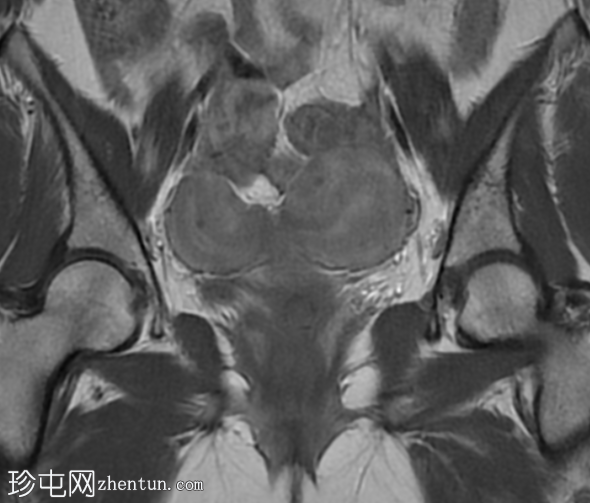
冠状位

STIR序列
2.jpeg
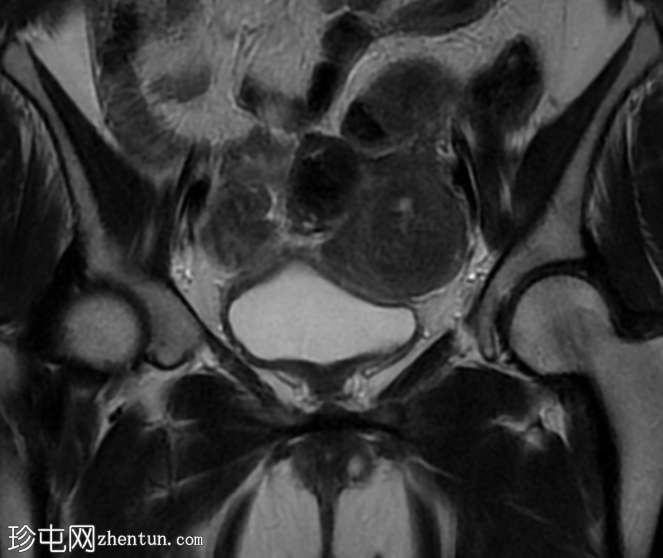
冠状位

T2加权像
3.png
冠状位

T1加权像
4.jpeg
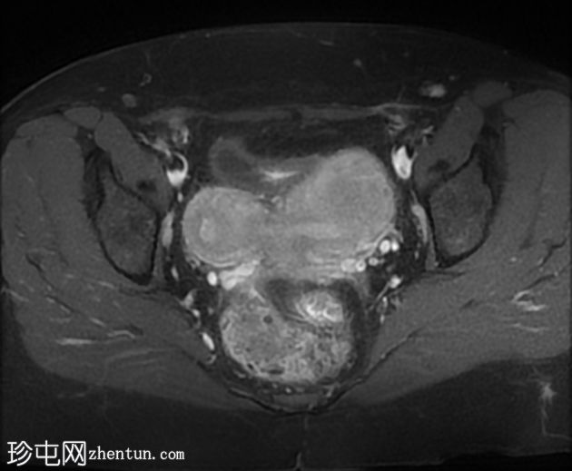
轴位

T2加权像
5.png
轴位
STIR序列
6.png
冠状位
T1加权像(增强)
7.png
8.jpeg
轴位T1加权像(增强)脂肪抑制序列

双角子宫,有两个子宫角和一个宫颈(单颈双角子宫)

右角正常,分区解剖结构正常,无肌层病变

左角局灶性前壁腺肌症,前壁交界区边界不清,肌层内可见多个高信号灶

两个小的间质性肌瘤和一个大的浆膜下肌瘤

宫颈纳博氏囊肿

右侧卵巢和左侧卵巢均正常

病例讨论

该病例表现为双角子宫单宫颈(双角单颈子宫),左侧单侧局灶性子宫角腺肌症,以及多发性子宫肌瘤。
您需要登录后才可以回帖 登录 | 注册
Copyright © 2011-2026 东莞市珍屯医疗科技有限公司Powered by zhentun.com
返回顶部