找回密码
 注册

弥漫性子宫腺肌症

作者:大江 | 时间:2026-1-7 16:00:00 | 阅读:111| 显示全部楼层
主诉

慢性盆腔疼痛

患者资料

年龄:50岁

性别:女

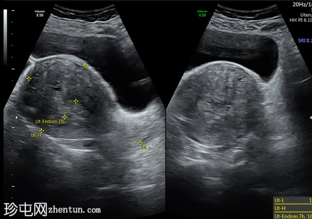
超声检查

子宫增大,肌层弥漫性增厚。移行区厚度约2.5厘米,呈不均匀回声,可见细小强回声条纹、微小肌层囊肿、轻微百叶窗样改变,以及轻度多普勒血流信号增强。

MRI
1.png
矢状位

T2加权像
2.png
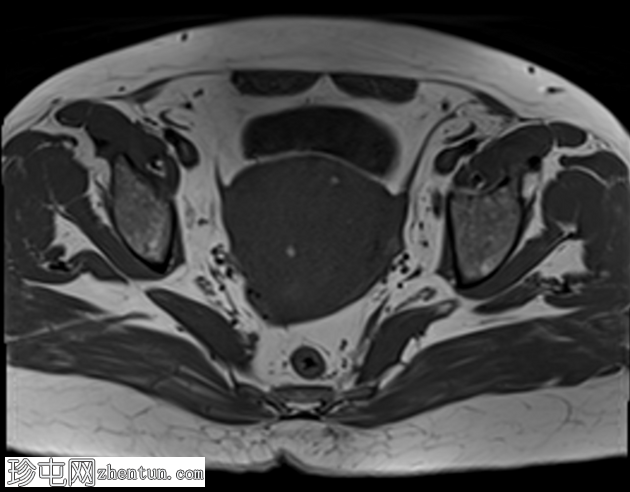
轴位

T2加权像
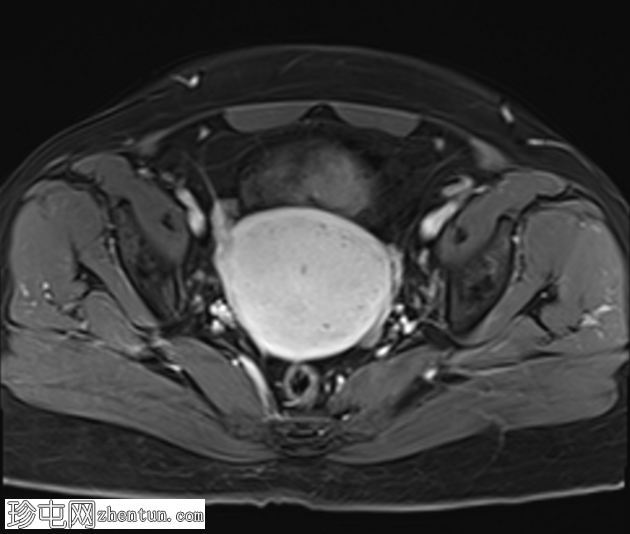
3.png
轴位

T1加权像
4.png
冠状位

T2加权像
5.png
轴位T1加权像

脂肪抑制像
6.png
轴位
DWI
7.png
轴位
ADC
8.png
轴位T1加权像(增强)

脂肪抑制像(振动成像)
9.png
冠状位T1加权像(增强)

脂肪抑制像(振动成像)
10.png
子宫增大,交界区弥漫性增厚,厚度约2.5 cm,边界模糊,在T1加权像和T2加权像上均可见无数点状高信号灶,提示出血灶。

在预期的膀胱尿道区域可见一小片异常信号强度的局灶性区域,T2加权像呈高信号,提示膀胱尿道子宫内膜异位症。

病例讨论

子宫腺肌症是一种常见的子宫疾病,其特征是子宫内膜组织异位生长于子宫肌层内,一些学者将其视为子宫内膜异位症的一部分。该病通常无症状,但也可能出现月经过多或痛经。

盆腔影像学检查(超声或MRI)通常显示局灶性或弥漫性、常不对称的子宫肌层增厚,并伴有异质性影像。

我们报告一例50岁女性患者,其超声和MRI影像均表现出弥漫性子宫腺肌症的特征性表现。
您需要登录后才可以回帖 登录 | 注册
Copyright © 2011-2026 东莞市珍屯医疗科技有限公司Powered by zhentun.com
返回顶部