找回密码
 注册

支气管内转移 - 肾细胞癌

作者:大江 | 时间:2025-12-19 12:00:02 | 阅读:103| 显示全部楼层
临床表现

持续咳嗽。

患者资料

年龄:45岁

性别:男

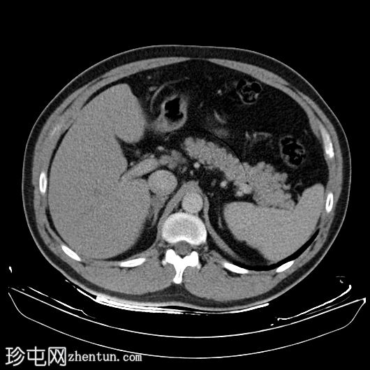
初始CT检查

CT
1.jpg
在一次时机不佳的动脉期CT扫描中,我们发现右下支气管内有一个低强化肿块。

左肾内偶然发现一个较大的、中心坏死的肿块。

右侧肾上腺可见几个小的低密度结节。

另需注意环状伪影(CT机随后不久更换)。

支气管镜检查发现右侧支气管树内有一个坏死性肿块,组织学诊断为肾细胞癌转移。

患者接受了左侧肾切除术,并开始接受联合免疫治疗。

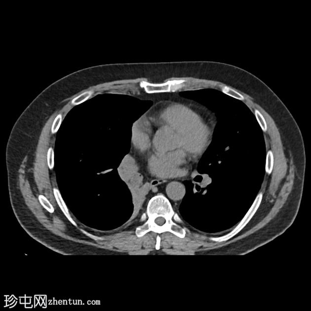
随访(16 个月后)

CT
轴位

平扫
2.jpg
轴位增强扫描

动脉期
3.jpg
右下肺支气管内肿块较前增大,现已延伸至中间支气管,并可见对比剂强化。右下肺阻塞性肺不张。

左下肺支气管出现新的类似肿块。

病例讨论

支气管内转移瘤虽然相对罕见,但在乳腺癌、结直肠癌和肾细胞癌中均有报道。
您需要登录后才可以回帖 登录 | 注册
Copyright © 2011-2026 东莞市珍屯医疗科技有限公司Powered by zhentun.com
返回顶部