找回密码
 注册

右侧输尿管结石导致中度肾积水,已置入支架

作者:大江 | 时间:2025-12-29 16:00:01 | 阅读:74| 显示全部楼层
病情介绍

患者2年前曾因右肾结石行手术取石。现因进食困难及体重下降2个月就诊。

患者资料

年龄:50岁

性别:男

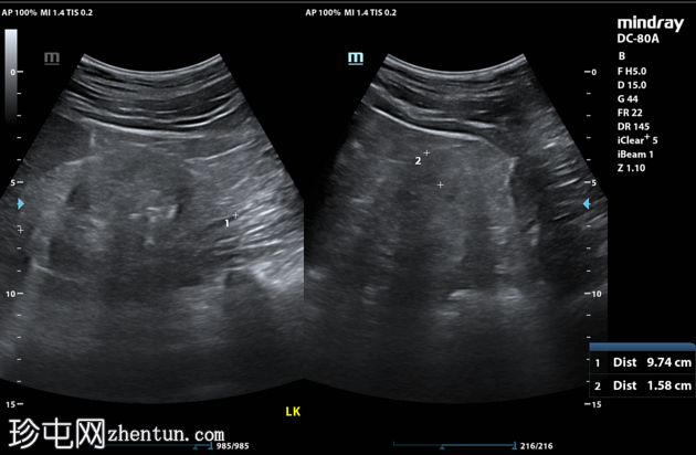
超声检查
1.png
右肾
2.png
左肾

双肾大小正常,回声增强。皮髓质分界清晰。未见局灶性肾实质病变。

右肾下极可见一结石,大小为0.9 x 0.6 x 0.9 cm(前后径 x 宽度 x 头尾径)。右肾轻度积水。右侧输尿管被肠道气体遮挡。输尿管支架近端位于右肾上极。

膀胱充盈不足。输尿管支架远端位于膀胱内。

左肾未见结石或积水。

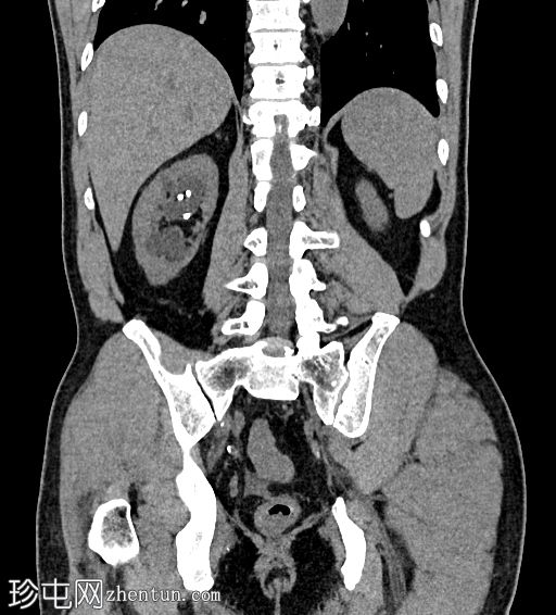
CT扫描
3.jpg
轴位

平扫
4.jpg
冠状位
平扫
5.jpg
矢状位
平扫

可见中度右肾积水和输尿管积水。右肾双极长10.6厘米。可见输尿管支架,近端位于肾上极肾盏,远端位于膀胱内。肾下极可见肾结石。肾下极可见肾皮质囊肿,囊壁薄,内含钙化。肾上极可见肾实质钙化。在支架旁远端输尿管(S1至S2椎体水平)可见少量输尿管结石。

左肾双极长9.2厘米。肾上极和肾下极可见微小结石。未见输尿管结石。无肾积水或输尿管积水。肾上极可见肾皮质囊肿。

膀胱轮廓正常。未见膀胱结石。

病例讨论

两年前患者接受结石取出术后,由于未进行随访,支架一直留在原位。此次诊断为输尿管结石引起的右侧梗阻性尿路疾病,患者接受了超声引导下右肾造瘘术。遗憾的是,目前尚无该病例的进一步临床或影像学随访资料。
您需要登录后才可以回帖 登录 | 注册
Copyright © 2011-2026 东莞市珍屯医疗科技有限公司Powered by zhentun.com
返回顶部