找回密码
 注册

青春期后型睾丸畸胎瘤

作者:大江 | 时间:2025-12-31 16:00:00 | 阅读:67| 显示全部楼层
临床表现

右侧睾丸出现无痛性硬块,病程两周。无其他症状。

患者资料

年龄:30岁

性别:男

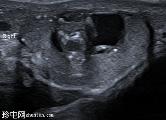
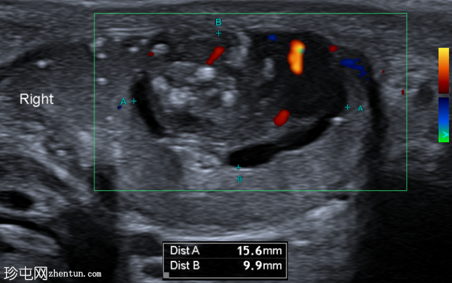
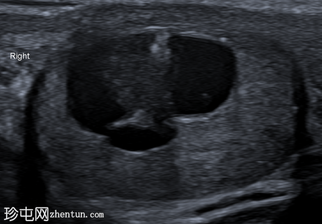
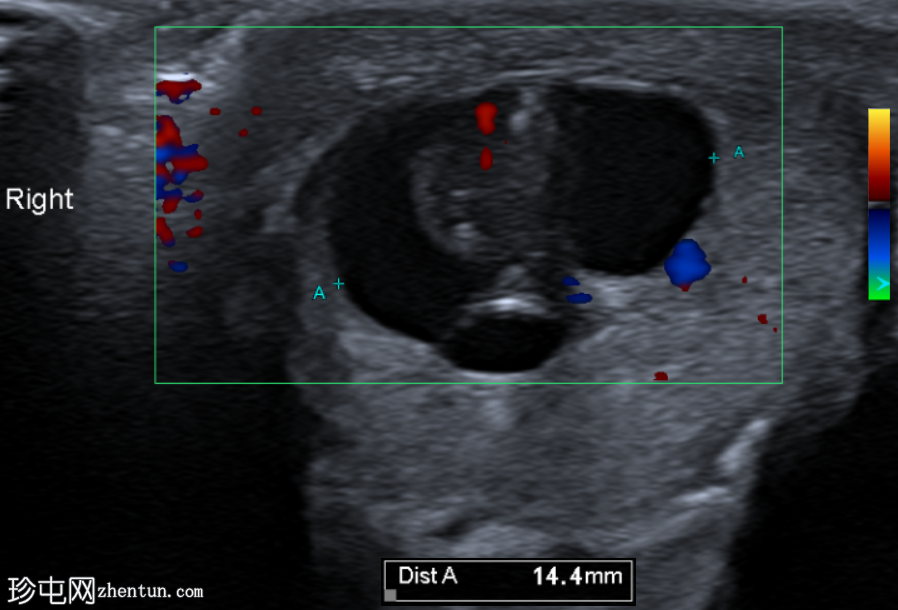
超声检查
1.png
纵切面
2.png
纵切面
3.png
纵切面
4.png
纵切面
5.png
横切面
右侧睾丸内可见一异质性肿块,大小约10 x 14 x 15 mm,包含实性和囊性成分。肿块内可见多发小钙化灶。彩色多普勒超声检查显示肿块内血流信号较少。

病例讨论

病史:右侧睾丸肿块。曾行右侧腹股沟根治性睾丸切除术。

大体标本:右侧睾丸大小为50 x 40 x 25 mm,精索大小为60 x 12 x 12 mm。右侧睾丸上极可见一12 mm的单灶性肿瘤,包含囊性和实性区域。未见鞘膜和精索的肉眼可见侵犯。鞘膜存在7毫米的缺损。

右侧睾丸的显微切片显示畸胎瘤(青春期后型)的特征,该畸胎瘤局限于睾丸内。畸胎瘤包含成熟的鳞状上皮、腺上皮、软骨、神经组织和骨组织。肿瘤类型为生殖细胞肿瘤(100%)。未见非生殖细胞肿瘤。未见血管侵犯。邻近睾丸组织中存在原位生殖细胞瘤(GCNIS)。睾丸网、附睾和精索(包括精索切缘)均未见肿瘤侵犯。未见淋巴血管、睾丸网间质、睾丸门软组织、精索切缘和鞘膜侵犯。肿瘤分期为pT1期。
您需要登录后才可以回帖 登录 | 注册
Copyright © 2011-2026 东莞市珍屯医疗科技有限公司Powered by zhentun.com
返回顶部