找回密码
 注册

Wilms瘤

作者:大江 | 时间:2026-1-6 17:00:00 | 阅读:100| 显示全部楼层
临床表现

腹部逐渐膨隆。

患者资料

年龄:4岁

性别:女

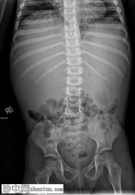
X线检查
1.png
腹部整体密度增高。肝脏轮廓显示不清。小肠袢向下移位。

CT
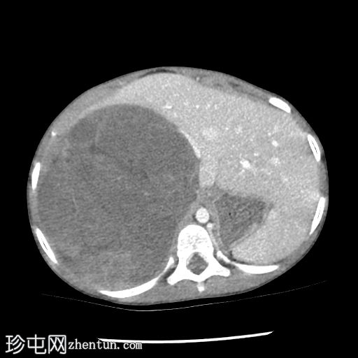
2.jpg
轴位增强扫描(门静脉期)
3.jpg
轴位
4.jpg
矢状位增强扫描(门静脉期)
5.jpg
冠状位增强扫描(门静脉期)

右肾向下移位至中线,呈水平位。肾上极可见一大小不一、边界相对清晰的肿块。未见明显钙化或坏死。肿块延伸至中线,但未越过主动脉/中线左侧。下腔静脉上段向前左侧移位。尽管移位,右肾静脉和动脉外观正常,未见狭窄/扩张或明显的肾静脉血栓形成。

结肠和小肠袢,尤其是在右侧腹部,向下移位,但外观无明显异常。

未见腹膜后淋巴结肿大。骨骼结构外观正常,无明显的溶骨性或成骨性改变。

病例讨论

本例为肾母细胞瘤。患者接受了穿刺活检,证实了肾母细胞瘤的初步诊断。

组织病理学检查显示,肿块包含间质成分(包括横纹肌母细胞分化)以及形成原始小管的上皮成分灶。免疫组化染色WT-1、结蛋白、肌生成素和SMA呈阳性,表明存在横纹肌母细胞成分。此外,AE1/AE3和PAX-8也呈阳性,提示存在上皮成分。未发现间变性特征。

肾母细胞瘤(Wilms瘤)是儿童最常见的原发性肾脏恶性肿瘤,约占儿童肾脏肿瘤的80%~90%,约占所有儿童癌症的5%~7%。发病高峰年龄为2~4岁,大多数病例在5岁前确诊。

一个重要的易感因素是存在肾源性残余组织,这些组织是胚胎肾组织在肾脏发育过程中未能退化的灶状残留。在正常发育过程中,后肾胚基在妊娠36周前分化并退化。如果出生后仍有后肾胚基残余组织存活,它们最终可能发展为肾源性残余组织。在单侧肾母细胞瘤中约有三分之一可检测到肾源性残余组织,而在双侧肾母细胞瘤中,这一比例超过90%。虽然许多残余细胞会退化或保持静止状态,但一部分细胞可能会在肾脏发育过程中通过遗传或表观遗传打击的积累而发生克隆扩增和恶性转化,从而导致 Wilms 肿瘤。
您需要登录后才可以回帖 登录 | 注册
Copyright © 2011-2026 东莞市珍屯医疗科技有限公司Powered by zhentun.com
返回顶部