找回密码
 注册

Zuckerkandl 器官副神经节瘤

作者:大江 | 时间:2026-1-10 17:00:00 | 阅读:91| 显示全部楼层
临床表现

右下腹轻度疼痛及沉重感。该肿块是在超声检查时偶然发现的。

患者资料

年龄:45岁

性别:女

MRI
轴位T2加权像

脂肪抑制像
1.jpg
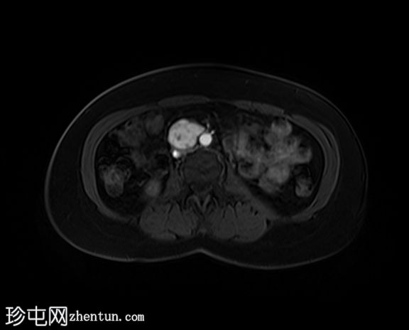
轴位
DWI
2.jpg
轴位T1加权像

增强脂肪抑制像
3.jpg
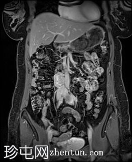
冠状位T1加权像

增强脂肪抑制像
4.jpg
右侧腹膜后可见一边界清晰的肿块,位于主动脉分叉上方。

病灶大小约为3.5 x 3.0 x 4.1 cm(前后径 x 横径 x 头尾径)。

T2加权像显示异质性高信号,DWI/ADC显示明显扩散受限,增强后明显强化。

对下腔静脉有轻微压迫,无直接侵犯或血栓形成的证据。

病灶旁可见两个小的、不规则的淋巴结,疑似转移。

病例讨论

影像学特征符合高血管性腹膜后病变的典型表现。

病变位于祖克坎德尔氏器,且具有明显的强化和扩散受限,强烈提示副神经节瘤。

结果:患者接受了手术切除。组织病理学检查证实为副神经节瘤,切除的两个淋巴结均有转移。
您需要登录后才可以回帖 登录 | 注册
Copyright © 2011-2026 东莞市珍屯医疗科技有限公司Powered by zhentun.com
返回顶部