找回密码
 注册

双肾畸形,异位输尿管插入前列腺尿道

作者:大江 | 时间:2026-1-13 21:00:00 | 阅读:118| 显示全部楼层
主诉

右侧腰痛。

患者资料

年龄:30岁

性别:男

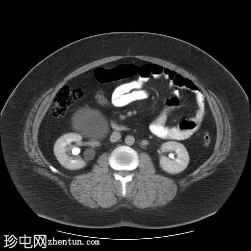
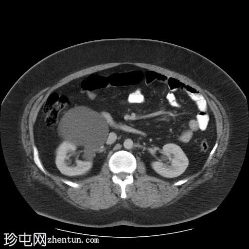
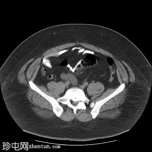
CT
轴位

平扫
1.jpg
轴位肾实质期
2.jpg
轴位肾排泄期
3.jpg
冠状位(口服造影剂)
4.jpg
冠状位肾实质期
5.jpg
冠状位肾排泄期
6.jpg
右肾集合系统完全重复。上肾集合系统的输尿管异位开口于前列腺尿道,导致上游集合系统显著扩张。这引起肾实质的慢性改变,包括上肾组织变薄和上肾盏排尿功能障碍。

相反,右肾下肾集合系统的输尿管位置正常,无扩张或结石迹象。

左肾和输尿管外观正常。

病例讨论

右肾重复畸形伴异位输尿管的CT表现。异位输尿管是一种先天性异常,指输尿管在异常位置开口于膀胱。

男性异位输尿管可连接至膀胱下段、尿道后段、精囊、输精管、射精管,或极少数情况下连接至直肠。

女性异位输尿管的常见开口位置包括膀胱颈和尿道上段(33%)、阴道前庭(33%)、阴道(25%)以及宫颈或子宫(不足5%)。
您需要登录后才可以回帖 登录 | 注册
Copyright © 2011-2026 东莞市珍屯医疗科技有限公司Powered by zhentun.com
返回顶部